Σκλήρυνση κατά πλάκας. Η νόσος αρχίζει, συνήθως, μεταξύ των ηλικιών 20 και 50 και είναι δύο φορές πιο συχνή στις γυναίκες.
H σκλήρυνση κατά πλάκας θεωρείται ο κύριος εκπρόσωπος των απομυελινωτικών παθήσεων.
Η σκλήρυνση κατά πλάκας, ICD – 10 G35, είναι μια φλεγμονώδης νόσος στην οποία έχουν καταστραφεί τα μονωτικά καλύμματα των νευρικών κυττάρων στον εγκέφαλο και το νωτιαίο μυελό. Η βλάβη αυτή διαταράσσει την ικανότητα των τμημάτων του νευρικού συστήματος για να επικοινωνούν, με αποτέλεσμα ένα ευρύ φάσμα σημείων και συμπτωμάτων, όπως σωματικά, πνευματικά και μερικές φορές ψυχιατρικά προβλήματα. Η σκλήρυνση κατά πλάκας έχει πολλές φορές νέα συμπτώματα, είτε συμβαίνει με επιθέσεις (υποτροπιάζουσα μορφή) ή επιδεινώνεται με την πάροδο του χρόνου (προοδευτική μορφή). Μεταξύ των επιθέσεων, μπορεί να μην υπάρχουν συμπτώματα, ωστόσο, μόνιμα νευρολογικά προβλήματα εμφανίζονται, συχνά, ειδικά, καθώς, προχωρά η ασθένεια.
Αν και η αιτία δεν είναι σαφής, ο υποκείμενος μηχανισμός πιστεύεται ότι είναι είτε η καταστροφή από το ανοσοποιητικό σύστημα ή η ανεπάρκεια των κυττάρων που παράγουν μυελίνη. Προτεινόμενες αιτίες είναι γενετικοί και περιβαλλοντικοί παράγοντες, όπως λοιμώξεις.
Δεν υπάρχει καμία γνωστή θεραπεία για τη σκλήρυνση κατά πλάκας. Οι θεραπείες προσπαθούν να βελτιώσουν τη λειτουργία μετά την επίθεση και την πρόληψη νέων επιθέσεων.
Καλή πρόγνωση έχουν οι γυναίκες, εκείνοι που αναπτύσσουν την ασθένεια νωρίς στη ζωή, άτομα με υποτροπιάζουσα πορεία και εκείνοι που εμφάνισαν αρχικά λίγες επιθέσεις. Το προσδόκιμο ζωής είναι 5 έως 10 χρόνια χαμηλότερο από εκείνο του γενικού πληθυσμού.
Από το 2008 2,5 εκατομμύρια άνθρωποι πλήττονται σε παγκόσμιο επίπεδο από ΣΚΠ με ποσοστά που κυμαίνονται ευρέως σε διάφορες περιοχές του κόσμου και ανάμεσα σε διαφορετικούς πληθυσμούς.
Η νόσος αρχίζει, συνήθως, μεταξύ των ηλικιών 20 και 50 και είναι δύο φορές πιο συχνή στις γυναίκες.
Κύρια συμπτώματα της σκλήρυνσης κατά πλάκας
Ένα άτομο με ΣΚΠ μπορεί να έχει σχεδόν οποιαδήποτε νευρολογικό σύμπτωμα ή σημείο. Τα αυτόνομα, οπτικά, κινητικά, και αισθητηριακά προβλήματα είναι τα πιο συχνά. Τα συγκεκριμένα συμπτώματα καθορίζονται από τις περιοχές των βλαβών εντός του νευρικού συστήματος και μπορεί να είναι απώλεια της ευαισθησίας ή αλλαγές στην αίσθηση, όπως, αιμωδίες, μυρμήγκιασμα, μυϊκή αδυναμία, πολύ έντονα αντανακλαστικά, μυϊκοί σπασμοί ή δυσκολία στην κίνηση, δυσκολίες με το συντονισμό και την ισορροπία (αταξία), προβλήματα με την ομιλία ή την κατάποση, προβλήματα όρασης (νυσταγμός, οπτική νευρίτιδα ή διπλωπία), αίσθημα κόπωσης, οξύς ή χρόνιος πόνο και δυσλειτουργία της ουροδόχου κύστεως και του εντέρου, μεταξύ άλλων. Διαταραχές σκέψης και συναισθηματικά προβλήματα, όπως κατάθλιψη ή ασταθής διάθεση είναι, επίσης, συχνά.
Το φαινόμενο Uhthoff, επιδείνωση των συμπτωμάτων που οφείλονται στην έκθεση σε υψηλότερες από το συνηθισμένο θερμοκρασίες και το σημείο Lhermitte, που είναι μια ηλεκτρική αίσθηση που επεκτείνεται κάτω από την πλάτη κατά την κάμψη του αυχένα, είναι ιδιαίτερο χαρακτηριστικό της ΣΚΠ. Βασικός δείκτης μέτρησης της αναπηρίας και της σοβαρότητας της νόσου είναι η κλίμακα expanded disability status scale (EDSS) για εκτίμηση ανικανότητας.
Η κατάσταση αρχίζει στο 85% των περιπτώσεων ως ένα κλινικό σύνδρομο με 45 % να έχει κινητικά ή αισθητηριακά προβλήματα, το 20% οπτική νευρίτιδα και το 10 % δυσλειτουργία του στελέχους, ενώ το υπόλοιπο 25 % έχει περισσότερες από μία διαταραχές.
Η πορεία των συμπτωμάτων εμφανίζεται με δύο βασικά μοντέλα που αρχικά εμφανίζονται είτε ως επεισόδια αιφνίδιας επιδείνωσης που διαρκούν από λίγες ημέρες έως και μήνες (που ονομάζονται υποτροπές, εξάρσεις, κρίσεις, επιθέσεις ή flare-ups) και στη συνέχεια παρατηρείται βελτίωση (85% των περιπτώσεων) ή ως μια σταδιακή επιδείνωση με την πάροδο του χρόνου, χωρίς περιόδους ανάκαμψης (10-15 % των περιπτώσεων). Ένας συνδυασμός αυτών των δύο μοντέλων μπορεί να συμβεί, επίσης ή η νόσος να αρχίσει με μια υποτροπιάζουσα και διαλείπουσα πορεία που στη συνέχεια γίνεται προοδευτική. Οι υποτροπές δεν είναι, συνήθως, προβλέψιμες και συμβαίνουν χωρίς προειδοποίηση. Οι παροξύνσεις, σπάνια, συμβαίνουν συχνότερα από δύο φορές ανά έτος. Μερικές υποτροπές, ωστόσο, εμφανίζονται συχνότερα κατά τη διάρκεια της άνοιξης και του καλοκαιριού. Ομοίως, ιογενείς λοιμώξεις, όπως το κοινό κρυολόγημα, η γρίπη, η γαστρεντερίτιδα μπορεί να αυξήσουν τον κίνδυνο υποτροπών. Το στρες μπορεί, επίσης, να προκαλέσει μια επίθεση. Η εγκυμοσύνη θεωρείται ότι μειώνει τον κίνδυνο υποτροπής, ωστόσο, κατά τους πρώτους μήνες μετά τον τοκετό, ο κίνδυνος αυξάνεται. Συνολικά, η εγκυμοσύνη δε φαίνεται να επηρεάζει τη μακροπρόθεσμη αναπηρία. Πολλά γεγονότα δεν έχουν βρεθεί ότι επηρεάζουν τα ποσοστά υποτροπής, όπως ο θηλασμός, το φυσικό τραύμα και το φαινόμενο Uhthoff.

Αιτίες σκλήρυνσης κατά πλάκας
Η αιτία της ΣΚΠ είναι άγνωστη. Ωστόσο, πιστεύεται ότι συμβαίνει ως αποτέλεσμα συνδυασμού περιβαλλοντικών παραγόντων, όπως μολυσματικών παραγόντων και γενετικών.
–Γεωγραφική κατανομή σκλήρυνσης κατά πλάκας
Η ΣΚΠ είναι πιο συχνή σε άτομα που ζουν πιο μακριά από τον ισημερινό, αν και υπάρχουν εξαιρέσεις. Η ΣΚΠ είναι πιο συχνή σε βόρειες Ευρωπαϊκές περιοχές. Η μειωμένη έκθεση στον ήλιο με αποτέλεσμα τη μειωμένη παραγωγή βιταμίνης D έχει, επίσης, ενοχοποιηθεί. Η σχέση μεταξύ της εποχής της γέννησης και της ΣΚΠ ενισχύει αυτή την υπόθεση, με λιγότερα άτομα που έχουν γεννηθεί στο βόρειο ημισφαίριο το Νοέμβριο σε σύγκριση με το Μάιο να επηρεάζονται αργότερα. Περιβαλλοντικοί παράγοντες μπορεί να παίζουν ρόλο κατά την παιδική ηλικία.
-Γενετικοί παράγοντες σκλήρυνσης κατά πλάκας
Αλλαγές HLA-human leukocyte antigens-αντιγόνα ανθρώπινων λευκοκυττάρων στην περιοχή του χρωμοσώματος 6 αυξάνουν την πιθανότητα για ΣΚΠ. Εάν και οι δύο γονείς έχουν ΣΚΠ ο κίνδυνος στα παιδιά είναι 10 φορές μεγαλύτερος από εκείνο του γενικού πληθυσμού. Η ΣΚΠ είναι, επίσης, πιο κοινή σε ορισμένες εθνικές ομάδες από ό, τι άλλες.
Συγκεκριμένα γονίδια που έχουν συνδεθεί με τη ΣΚΠ περιλαμβάνουν το ανθρώπινο αντιγόνο λευκοκυττάρων (HLA ), στο χρωμόσωμα 6, που είναι το μείζον σύμπλεγμα ιστοσυμβατότητας (MHC-major histocompatibility complex). Αλλαγές στην περιοχή HLA σχετίζονται με ευαισθησία. Η ίδια περιοχή έχει ενοχοποιηθεί για την ανάπτυξη άλλων αυτοάνοσων ασθενειών, όπως ο διαβήτης τύπου Ι και ο συστηματικός ερυθηματώδης λύκος. Το πιο σταθερό εύρημα είναι η συσχέτιση μεταξύ της σκλήρυνσης κατά πλάκας και των αλληλόμορφων του MHC DR15 και DQ6 . Άλλες θέσεις έχουν δείξει μια προστατευτική επίδραση, όπως τα HLA- C554 και HLA- DRB1. Συνολικά, έχει υπολογιστεί ότι οι αλλαγές HLA αντιπροσωπεύουν το 20 και το 60% της γενετικής προδιάθεσης. Οι σύγχρονες μέθοδοι γενετικής έχουν ανακαλύψει τουλάχιστον δώδεκα άλλα γονίδια, εκτός των HLA, που αυξάνουν ελαφρώς την πιθανότητα για ΣΚΠ.
-Λοιμώδεις παράγοντες υπεύθυνοι για τη σκλήρυνση κατά πλάκας
Πολλά μικρόβια έχουν προταθεί ως ενοχοποιητικοί παράγοντες για ΣΚΠ, αλλά κανένα δεν έχει επιβεβαιωθεί.
Αποδεικτικά στοιχεία υπέρ της λοιμώδους αιτιολογίας: η παρουσία ολιγοκλωνικών αλυσίδων στον εγκέφαλο και στο εγκεφαλονωτιαίο υγρό στους περισσότερους ανθρώπους με σκλήρυνση κατά πλάκας, η συσχέτιση πολλών ιών με την ανθρώπινη εγκεφαλομυελίτιδα που προκαλεί απομυελίνωση, καθώς και η εμφάνιση απομυελίνωσης σε ζώα μετά από κάποια ιογενή λοίμωξη. Οι ερπητοϊοί ενοχοποιούνται. Τα άτομα που δεν έχουν ποτέ προσβληθεί από τον ιό Epstein-Barr διατρέχουν μειωμένο κίνδυνο για ΣΚΠ, ενώ όσοι έχουν μολυνθεί, όπως οι νεαροί ενήλικες βρίσκονται σε μεγαλύτερο κίνδυνο από εκείνους που είχαν προσβληθεί στην παιδική ηλικία. Άλλες ασθένειες που μπορεί να σχετίζονται περιλαμβάνουν την ιλαρά, παρωτίτιδα και ερυθρά.
–Άλλοι παράγοντες υπεύθυνοι για τη σκλήρυνση κατά πλάκας
- Το κάπνισμα έχει αποδειχθεί ότι είναι ένας ανεξάρτητος παράγοντας κινδύνου.
- Το στρες μπορεί να είναι ένας παράγοντας κινδύνου.
- Η επαγγελματική έκθεση σε τοξίνες, κυρίως, διαλύτες.
- Εμβολιασμοί.
- Η διατροφή και η πρόσληψη ορμονών.
- Το αυξημένο ουρικό οξύ δρα προστατευτικά.
Παθοφυσιολογία της σκλήρυνσης κατά πλάκας
Τα τρία κύρια χαρακτηριστικά της ΣΚΠ είναι ο σχηματισμός βλαβών στο κεντρικό νευρικό σύστημα (που ονομάζονται, επίσης πλάκες), η φλεγμονή και η καταστροφή της μυελίνης των νευρώνων.
Απομυελίνωση
Το όνομα πολλαπλή σκλήρυνση αναφέρεται στις ουλές του νευρικού συστήματος. Αυτές οι αλλοιώσεις, συνήθως, επηρεάζουν τη λευκή ουσία του οπτικού νεύρου, το στέλεχος του εγκεφάλου, τα βασικά γάγγλια και το νωτιαίο μυελό ή τη λευκή ουσία κοντά στις πλευρικές κοιλίες. Η λειτουργία της λευκής ουσίας είναι να μεταφέρουν τα σήματα. Το περιφερικό νευρικό σύστημα, σπάνια, εμπλέκεται. Πιο συγκεκριμένα, η ΣΚΠ συνεπάγεται την απώλεια των ολιγοδενδροκυττάρων, που είναι υπεύθυνα για τη δημιουργία και τη διατήρηση της μυελίνης, που βοηθά τους νευρώνες να μεταφέρουν ηλεκτρικά σήματα. Αυτό οδηγεί σε μια λέπτυνση ή πλήρη απώλεια της μυελίνης και όπως προχωρά η ασθένεια, επηρεάζει τους άξονες των νευρώνων. Μια διαδικασία επισκευής, που ονομάζεται επαναμυελίνωση, λαμβάνει χώρα στα αρχικά στάδια της νόσου, αλλά τα ολιγοδενδροκύτταρα δεν είναι σε θέση να αποκαταστήσουν πλήρως το έλυτρο μυελίνης του κυττάρου. Οι επανειλημμένες επιθέσεις οδηγούν σε διαδοχικά λιγότερο αποτελεσματικές επαναμυελινώσεις, μέχρι να σχηματιστούν οι πλάκες. Μια άλλη διαδικασία που εμπλέκεται στη δημιουργία των βλαβών είναι μια ανώμαλη αύξηση στον αριθμό των αστροκυττάρων λόγω της καταστροφής των νευρώνων.
Φλεγμονή
Εκτός από την απομυελίνωση, το άλλο σημάδι της νόσου είναι η φλεγμονή. Η φλεγμονώδης διεργασία προκαλείται από τα Τ κύτταρα, ένα είδος λεμφοκυττάρων που παίζει σημαντικό ρόλο στην άμυνα του οργανισμού που αναγνωρίζουν τη μυελίνη ως ξένο. Στη συνέχεια ενεργοποιεί άλλα κύτταρα του ανοσοποιητικού συστήματος και προκαλεί απελευθέρωση διαλυτών παραγόντων, όπως οι κυτοκίνες και τα αντισώματα. Περαιτέρω διάσπαση του φραγμού αίματος-εγκεφάλου, με τη σειρά του μπορεί να προκαλέσει μια σειρά από άλλες επιβλαβείς επιδράσεις, όπως οίδημα, ενεργοποίηση των μακροφάγων και μεγαλύτερη ενεργοποίηση των κυτοκινών και άλλων καταστρεπτικών πρωτεΐνών. Η φλεγμονή μπορεί να μειώσει δυνητικά τη διαβίβαση των πληροφοριών μεταξύ των νευρώνων. Οι διαλυτοί παράγοντες που απελευθερώνονται μπορεί να σταματήσουν τη νευροδιαβίβαση. Αυτοί οι παράγοντες θα μπορούσαν να προκαλέσουν ή να ενισχύσουν την απώλεια της μυελίνης, ή μπορεί να καταστρέψουν τους νευράξονες.
Αιματοεγκεφαλικός φραγμός
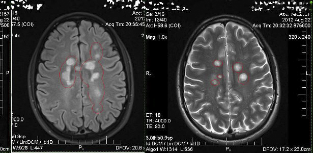
Ο αιματοεγκεφαλικός φραγμός είναι μέρος του τριχοειδούς συστήματος που αποτρέπει την είσοδο των Τ κυττάρων εντός του κεντρικού νευρικού συστήματος. Μπορεί να γίνει διαπερατός σε αυτούς τους τύπους των κυττάρων, δευτεροπαθώς, σε μια μόλυνση από έναν ιό ή βακτήριο. Τα Τ κύτταρα μπορούν να παραμείνουν παγιδευμένα στο εσωτερικό του εγκεφάλου. Η MRI-Magnetic Resonance Imaging-Απεικόνιση μαγνητικού συντονισμού αναδεικνύει τις βλάβες.

Διάγνωση σκλήρυνσης κατά πλάκας
Η σκλήρυνση κατά πλάκας, συνήθως, διαγιγνώσκεται, με βάση τα σημεία και συμπτώματα, σε συνδυασμό με την υποστήριξη ιατρικής απεικόνισης και τις εργαστηριακές δοκιμές. Μπορεί να είναι δύσκολο να επιβεβαιωθεί, ειδικά πρώιμα, δεδομένου ότι τα σημεία και τα συμπτώματα μπορεί να είναι παρόμοια σε άλλα ιατρικά προβλήματα.
Τα κριτήρια McDonald που επικεντρώνονται σε κλινικά, εργαστηριακά και ακτινολογικά στοιχεία των βλαβών σε διαφορετικές χρονικές περιόδους και σε διαφορετικές περιοχές είναι η πιο συχνά χρησιμοποιούμενη μέθοδος διάγνωσης. Ενώ, τα παραπάνω κριτήρια επιτρέπουν μια μη επεμβατική διάγνωση, ορισμένοι δηλώνουν ότι η μόνη οριστική απόδειξη είναι μία βιοψία όταν ανιχνεύονται βλάβες χαρακτηριστικές της ΣΚΠ.
Κλινική Παρουσίαση | Συμπληρωματικά δεδομένα που απαιτούνται |
---|---|
* 2 ή περισσότερα επεισόδια (υποτροπές) * 2 ή περισσότερα αντικειμενικά κλινικά σημεία | Δεν υπάρχουν βλάβες; Οι κλινικές ενδείξεις είναι αρκετές (πρόσθετα αποδεικτικά στοιχεία είναι επιθυμητά) |
* 2 ή περισσότερες επιθέσεις * 1 αντικειμενικό κλινικό σημείο | MRI * Ή θετική ΟΣΠ-Οσφυονωτιαία παρακέντηση και 2 ή περισσότερες βλάβες στην MRI συμβατές με ΣΚΠ * Ή περαιτέρω κλινική επίθεση σε διαφορετική τοποθεσία |
* 1 επίθεση * 2 ή περισσότερα αντικειμενικά κλινικά σημεία | Αύξηση βλαβών στο χρόνο, όπως αποδεικνύεται από: * MRI * Δεύτερη κλινική επίθεση |
* 1 επίθεση * 1 αντικειμενικό κλινικό σημείο (μονοσυμπτωματική παρουσίαση) | Η εξέλιξη αποδεικνύεται από: * MRI * Ή θετική ΟΣΠ και 2 ή περισσότερες βλάβες στην MRI συμβατές με ΣΚΠ και Η εξέλιξη αποδεικνύεται από: * MRI * Ή δεύτερη κλινική επίθεση |
Ύπουλη νευρολογική εξέλιξη υποδηλώνει ΣΚΠ (πρωτογενής προοδευτική σκλήρυνση κατά πλάκας) | Ένα χρόνο εξέλιξη της νόσου Δύο από τα ακόλουθα: a. Θετική μαγνητική τομογραφία εγκεφάλου (εννέα T2 βλάβες ή τέσσερις ή περισσότερες T2 βλάβες με θετική ΟΣΠ) b. Θετική MRI νωτιαίου μυελού (δύο εστιακές T2 βλάβες) c. θετική ΟΣΠ |
Κλινικά δεδομένα από μόνα τους μπορεί να είναι επαρκή για τη διάγνωση της σκλήρυνσης κατά πλάκας, αν ένα άτομο έχει ξεχωριστά επεισόδια νευρολογικών συμπτωμάτων χαρακτηριστικά της νόσου. Σε αυτούς που αναζητούν ιατρική βοήθεια μετά από μία μόνο επίθεση, άλλες δοκιμές είναι απαραίτητες για τη διάγνωση.
Τα συνηθέστερα χρησιμοποιούμενα διαγνωστικά εργαλεία είναι η νευροαπεικόνιση, η ανάλυση του εγκεφαλονωτιαίου υγρού (ΟΣΠ) και τα προκλητά δυναμικά. Η απεικόνιση μαγνητικού συντονισμού του εγκεφάλου και της σπονδυλικής στήλης μπορεί να δείξουν περιοχές απομυελίνωσης (αλλοιώσεις ή πλάκες). Γαδολίνιο μπορεί να χορηγηθεί ενδοφλεβίως ως σκιαγραφικό μέσο για να τονίσει τις πλάκες (καλύτερα να μη γίνεται). Η ΟΣΠ παρακέντηση μπορεί να παρέχει αποδεικτικά στοιχεία της χρόνιας φλεγμονής στο κεντρικό νευρικό σύστημα. Το εγκεφαλονωτιαίο υγρό έχει δοκιμαστεί για ολιγοκλωνικές ζώνες της IgG με ηλεκτροφόρηση, που είναι δείκτες φλεγμονής και ανευρίσκονται σε 75-85 % των ατόμων με ΣΚΠ. Η διέγερση του οπτικού νεύρου και των αισθητήριων νεύρων μπορεί να εξεταστεί χρησιμοποιώντας οπτικά και αισθητικά προκλητά δυναμικά.
Υπότυποι σκλήρυνσης κατά πλάκας
-υποτροπιάζουσα-διαλείπουσα,
-δευτεροπαθής προϊούσα μορφή,
-πρωτοπαθής προοδευτική, και
-προοδευτική υποτροπιάζουσα
Η υποτροπιάζουσα-διαλείπουσα χαρακτηρίζεται από απρόβλεπτες υποτροπές που ακολουθούνται από περιόδους από μήνες έως χρόνια σχετικής ηρεμίας (ύφεση) και δεν υπάρχουν νέες ενδείξεις της δραστηριότητας της νόσου. Ελλείμματα που προκύπτουν κατά τη διάρκεια επιθέσεων μπορεί είτε να επιλυθούν ή να αφήσουν προβλήματα σε περίπου 40% των επιθέσεων και είναι πιο συχνά όσο μεγαλύτερο χρονικό διάστημα ένα άτομο έχει την ασθένεια. Αυτό περιγράφει την αρχική πορεία του 80% των ατόμων με ΣΚΠ.
Όταν δεν παρατηρούνται επιπλοκές αυτό μερικές φορές αναφέρεται ως καλοήθης ΣΚΠ, αν και οι άνθρωποι αυτοί θα αποκτήσουν κάποιο βαθμό αναπηρίας σε μακροπρόθεσμη βάση.
Από την άλλη πλευρά, ο όρος κακοήθης σκλήρυνση κατά πλάκας χρησιμοποιείται για να περιγράψει τους ανθρώπους με σκλήρυνση κατά πλάκας που φθάνουν σε υψηλά επίπεδα αναπηρίας σε σύντομο χρονικό διάστημα.
Η υποτροπιάζουσα-διαλείπουσα ΣΚΠ αρχίζει, συνήθως, με ένα κλινικό σύνδρομο. Ένα άτομο έχει μια επίθεση που υποδηλώνει απομυελίνωση, αλλά δεν πληρεί τα κριτήρια για τη σκλήρυνση κατά πλάκας. 30 έως 70 % των ατόμων που αντιμετωπίζουν υποτροπιάζουσα-διαλείπουσα ΣΚΠ αναπτύσουν αργότερα ΣΚΠ.
Η δευτερογενής προϊούσα ΣΚΠ εμφανίζεται σε περίπου 65% των ατόμων με την αρχική υποτροπιάζουσα- διαλείπουσα σκλήρυνση κατά πλάκας, οι οποίοι έχουν τελικά προοδευτική νευρολογική νόσο μεταξύ των επιθέσεων χωρίς περιόδους ύφεσης. Το πιο συχνό χρονικό διάστημα μεταξύ της έναρξης της νόσου και μετατροπής από υποτροπιάζουσα-διαλείπουσα σε δευτερογενή προϊούσα πολλαπλή σκλήρυνση είναι τα 19 έτη.
Ο πρωτοπαθής προοδευτικός υπότυπος εμφανίζεται σε περίπου 10-20% των ατόμων, χωρίς, ύφεση μετά τα αρχικά συμπτώματα και χαρακτηρίζεται από εξέλιξη της αναπηρίας από την έναρξη, με καθόλου ή μόνο περιστασιακές και μικρές, υφέσεις και βελτιώσεις. Η συνήθης ηλικία έναρξης για τον πρωτογενή προοδευτικό υπότυπο είναι μεγαλύτερη από τον υποτροπιάζων-διαλείποντα υπότυπο. Είναι παρόμοια με την ηλικία που η δευτερογενής προϊούσα αρχίζει, συνήθως, στην υποτροπιάζουσα-διαλείπουσα σκλήρυνση κατά πλάκας, περίπου τα 40 έτη.
Η προοδευτική υποτροπιάζουσα ΣΚΠ περιγράφει τα άτομα που, από την έναρξη, έχουν μια σταθερή νευρολογική ύφεση, αλλά και έχουν σαφείς παράλληλες επιθέσεις. Αυτό είναι η λιγότερο συχνή από όλους τους υποτύπους.
Ασυνήθιστα είδη της ΣΚΠ έχουν περιγραφεί. Αυτά περιλαμβάνουν τη νόσο του Devic (Η οπτική νευρομυελίτιδα είναι ένα σοβαρό και χρόνιο αυτοάνοσο νόσημα που προκαλεί απομυελίνωση του οπτικού νεύρου και της σπονδυλικής στήλης), την Balo ομόκεντρη σκλήρυνση κατά πλάκας (κεραυνοβόλος πορεία της σκλήρυνσης κατά πλάκας), στην οποία σχηματίζεται η εστία, που αποτελείται από ομόκεντρα διατεταγμένα στρώματα απομυελίνωση, τη διάχυτη σκλήρυνση Schilder ή διάχυτη εγκεφαλική σκλήρυνση και τη Marburg σκλήρυνση κατά πλάκας. Υπάρχει συζήτηση για το αν είναι παραλλαγές της ΣΚΠ ή διαφορετικές ασθένειες. Η σκλήρυνση κατά πλάκας συμπεριφέρεται διαφορετικά στα παιδιά και εξελίσσεται αργά.
Αντιμετώπιση της σκλήρυνσης κατά πλάκας
Αν και δεν υπάρχει καμία γνωστή θεραπεία για τη σκλήρυνση κατά πλάκας, αρκετές θεραπείες έχουν αποδειχθεί χρήσιμες.
Οι κύριοι στόχοι της θεραπείας είναι η επάνοδος της λειτουργίας μετά από μια επίθεση, η πρόληψη νέων επιθέσεων και η πρόληψη της αναπηρίας.
Όπως με κάθε ιατρική θεραπεία, τα φάρμακα που χρησιμοποιούνται για την αντιμετώπιση της ΣΚΠ έχουν πολλές αρνητικές επιπτώσεις. Εναλλακτικές θεραπείες υπάρχουν, επίσης.
Επιθέσεις σκλήρυνσης κατά πλάκας
Κατά τη διάρκεια των επιθέσεων, η χορήγηση υψηλών δόσεων ενδοφλέβιων κορτικοστεροειδών, όπως η μεθυλπρεδνιζολόνη, είναι η συνήθης θεραπεία, με τα από του στόματος κορτικοστεροειδή να έχουν παρόμοιο προφίλ αποτελεσματικότητας και ασφάλειας. Αν και γενικά είναι αποτελεσματικά για την ανακούφιση των συμπτωμάτων, τα κορτικοστεροειδή δε φαίνεται να έχει σημαντικό αντίκτυπο στη μακροπρόθεσμη ανάκαμψη. Οι σοβαρές επιθέσεις, που δεν ανταποκρίνονται στα κορτικοστεροειδή μπορεί να είναι θεραπεύσιμες με πλασμαφαίρεση.
Τροποποιητικές θεραπείες της σκλήρυνσης κατά πλάκας
-Υποτροπιάζουσα διαλείπουσα σκλήρυνση κατά πλάκας
Οκτώ τροποποιητικές της νόσου θεραπείες έχουν εγκριθεί για την υποτροπιάζουσα-διαλείπουσα σκλήρυνση κατά πλάκας: ιντερφερόνη βήτα – 1a ή REBIF, η ιντερφερόνη βήτα – 1b ή EXTAVIA, οξεική γλατιραμέρη ή COPAXONE, μιτοξαντρόνη ή mitoxantrone, natalizumab ή ναταλιζουμάμπη ή TYSABRI, fingolimod ή φινγκολιμόδη ή FINGOLIMOD ACCORD, teriflunomide ή τεριφλουνομίδη ή AUBAGIO και φουμαρικός διμεθυλεστέρας ή DIMETHYL FUMARATE ή dimethyl fumarate.
Οι ιντερφερόνες και η οξεική γλατιραμέρη ή Glatiramer Acetate ή γκλατιραμέρη ή COPAXONE είναι οι θεραπείες πρώτης γραμμής και είναι περίπου ισοδύναμες, στη μείωση των υποτροπών κατά περίπου 30 %.
Διαβάστε, πατώντας, εδώ, για την ιντερφερόνη βήτα 1 α και τις παρενέργειές της
Διαβάστε, πατώντας, εδώ, για την ιντερφερόνη βήτα 1 β και τις παρενέργειές της
Διαβάστε, πατώντας, εδώ, για την οξεική γλατιραμέρη και τις παρενέργειές της
Η natalizumab μειώνει το ποσοστό υποτροπής περισσότερο από τους πρώτης γραμμής παράγοντες, ωστόσο, λόγω των δυσμενών παρενεργειών είναι μια δεύτερης γραμμής θεραπεία, αποκλειστικά για εκείνους που δεν ανταποκρίνονται σε άλλες θεραπείες ή σε αυτούς με σοβαρή νόσο.
Διαβάστε, επίσης, για τη natalizumab και τις παρενέργειές της, πατώντας, εδώ.
Η μιτοξαντρόνη, της οποίας η χρήση περιορίζεται από τις σοβαρές ανεπιθύμητες ενέργειες, είναι μια τρίτης γραμμής επιλογή για εκείνους που δεν ανταποκρίνονται σε άλλα φάρμακα.
Διαβάστε για τη μιτοξαντρόνη και τις παρενέργειές της, πατώντας, εδώ.
Η θεραπεία σε καλοήθη σκλήρυνση κατά πλάκας με ιντερφερόνες μειώνει την πιθανότητα να προχωρήσει σε κλινική μορφή σκλήρυνσης κατά πλάκας. Η αποτελεσματικότητα των ιντερφερονών και της οξεικής glatiramer σε παιδιά έχει εκτιμηθεί και είναι περίπου ισοδύναμη με εκείνη των ενηλίκων.
Ο ρόλος των νεότερων παραγόντων, όπως της fingolimod, της teriflunomide, και του διμεθυλο fumarate δεν είναι ακόμη απόλυτα σαφείς.
Διαβάστε για τη φινγκολιμόδη και τις παρενέργειές της, πατώντας, εδώ.
Διαβάστε, για την τεριφλουνομίδη και τις παρενέργειές της, πατώντας, εδώ.
Διαβάστε για το φουμαρικό διμεθυλεστέρα και τις παρενέργειές του πατώντας, εδώ.
-Προοδευτική σκλήρυνση κατά πλάκας
Καμία θεραπεία δεν έχει αποδειχθεί ότι αλλάζει την πορεία της πρωτοπαθούς προοδευτικής σκλήρυνσης κατά πλάκας και από το 2011 μόνο ένα φάρμακο, η μιτοξαντρόνη, έχει εγκριθεί για τη δευτερογενή προοδευτική σκλήρυνση κατά πλάκας. Σε αυτό τον πληθυσμό κάποια στοιχεία υποστηρίζουν ότι η μιτοξαντρόνη κάνει μέτρια επιβράδυνση της εξέλιξης της νόσου και μείωση των ποσοστών των υποτροπών για πάνω από δύο χρόνια.
Οι ανεπιθύμητες ενέργειες
Οι τροποποιητικές της νόσου θεραπείες έχουν πολλές αρνητικές συνέπειες.
-Από τις πιο συχνές παρενέργειες είναι ερεθισμός στο σημείο της ένεσης για την οξεική γλατιραμέρη και τις ιντερφερόνες (μέχρι 90 % με υποδόριες ενέσεις και 33 % με ενδομυϊκές ενέσεις). Λιποδυστροφία λόγω της τοπικής καταστροφής του λιπώδους ιστού, που είναι ατροφία του λιπώδους ιστού, μπορεί να αναπτυχθεί.
-Οι ιντερφερόνες μπορεί να προκαλέσουν συμπτώματα γρίπης.
-Μερικοί άνθρωποι που λαμβάνουν θεραπεία με glatiramer κάνουν αντίδραση με έξαψη, άγχος, σφίξιμο στο στήθος, αίσθημα παλμών της καρδιάς, δύσπνοια, η οποία, συνήθως, διαρκεί λιγότερο από τριάντα λεπτά.
-Πιο επικίνδυνα, αλλά πολύ λιγότερο συχνά είναι η βλάβη ήπατος από τις ιντερφερόνες, η συστολική δυσλειτουργία (12%), η στειρότητα και η οξεία μυελογενής λευχαιμία (0,8 % ) από μιτοξαντρόνη.
-Η Fingolimod μπορεί να προκαλέσει υπέρταση και βραδυκαρδία, οίδημα της ωχράς κηλίδας, αυξημένα ηπατικά ένζυμα ή μείωση των επιπέδων λεμφοκυττάρων.
-Η teriflunomide έχει τις εξής παρενέργειες: Πονοκεφάλοι, κόπωση, ναυτία, απώλεια μαλλιών και πόνος στα άκρα. Υπήρξαν, επίσης, αναφορές ηπατικής ανεπάρκειας και προμυελοκυτταρικής λευχαιμίας με τη χρήση του και είναι επικίνδυνο για την ανάπτυξη του εμβρύου.
-Οι συχνότερες ανεπιθύμητες ενέργειες του διμεθυλο fumarate είναι η έξαψη και τα γαστρεντερικά προβλήματα. Ενώ ο φουμαρικός διμεθυλεστέρας μπορεί να οδηγήσει σε μείωση του αριθμού των λευκών αιμοσφαιρίων δε συμβαίνουν ευκαιριακές λοιμώξεις.
- Η άσκηση και οι θεραπείες ψυχολογίας και ιδιαίτερα η γνωστική συμπεριφορική προσέγγιση είναι αποτελεσματικά.
- Εναλλακτικές θεραπείες
Πάνω από το 50% των ατόμων με ΣΚΠ παίρνουν βιταμίνη D. Άλλες εναλλακτικές θεραπείες είναι τα διαιτητικά συμπληρώματα, οι τεχνικές χαλάρωσης, όπως η γιόγκα, τα φυτικά φάρμακα (συμπεριλαμβανομένης της ιατρικής κάνναβης), η θεραπεία με υπερβαρικό οξυγόνο, η αυτολοίμωξη με αγκυλόστομα, η ρεφλεξολογία και ο βελονισμός.
Πρόγνωση της σκλήρυνσης κατά πλάκας
Η αναμενόμενη μελλοντική πορεία της νόσου εξαρτάται από τον υπότυπο της νόσου, το φύλο, την ηλικία και τα αρχικά συμπτώματα. Το γυναικείο φύλο, η υποτροπιάζουσα-διαλείπουσα σκλήρυνση κατά πλάκας, η οπτική νευρίτιδα ή τα αισθητικά συμπτώματα κατά την έναρξη, οι λίγες επιθέσεις κατά τα πρώτα έτη και η ιδιαίτερα νεαρή ηλικία κατά την έναρξη συνδέονται με μια καλύτερη πορεία.
Το μέσο προσδόκιμο ζωής είναι τα 30 χρόνια από την έναρξη και είναι 5 έως 10 χρόνια χαμηλότερο από εκείνο των υπόλοιπων ανθρώπων. Σχεδόν, το 40% των ατόμων με ΣΚΠ φτάνει την έβδομη δεκαετία της ζωής. Παρ’όλα αυτά, τα δύο τρίτα των θανάτων έχουν άμεση σχέση με τις συνέπειες της νόσου. Η αυτοκτονία είναι η πιο συχνή και ακολουθούν οι λοιμώξεις. Αν και οι περισσότεροι άνθρωποι μένουν παράλυτοι πριν από το θάνατο, το 90 % είναι σε θέση να περπατάει στα 10 χρόνια από την έναρξη, και το 75 % στα 15 χρόνια.
Υψηλής Ποιότητας Συμπλήρωμα Διατροφής για τη σκλήρυνση κατά πλάκας

Υψηλής Ποιότητας βιταμίνη D3 & K2 για τη σκλήρυνση κατά πλάκας
Πατήστε, εδώ, για να παραγγείλετε την Υψηλής Ποιότητας βιταμίνη D3 & K2 για τη σκλήρυνση κατά πλάκας

Υψηλής Ποιότητας Ιατρική Κάνναβη για τη Σκλήρυνση κατά πλάκας
Πατήστε, εδώ, για να παραγγείλετε την Υψηλής Ποιότητας Ιατρική Κάνναβη για τη Σκλήρυνση κατά πλάκας

Συμπληρώματα διατροφής για όσους έχουν σκλήρυνση κατά πλάκας
Τα καλύτερα συμπληρώματα διατροφής για όσους έχουν πολλαπλή σκλήρυνση

Η καθοδήγηση για την επιλογή των ποιων συμπληρωμάτων διατροφής, από τα ανωτέρω, θα επιλεγούν για την ασθένειά σας θα γίνει σε συνεννόηση με το θεράποντα ιατρό.
Διαβάστε, επίσης,
Η καλύτερη θεραπεία για τη σκλήρυνση κατά πλάκας
Υπάρχει θεραπεία για τη σκλήρυνση κατά πλάκας;
Το χάπι για τη σκλήρυνση κατά πλάκας
Νέα φάρμακα για τις αυτοάνοσες παθήσεις
Η σκλήρυνση κατά πλάκας είναι συχνότερη στις γυναίκες
Τα βλαστοκύτταρα θεραπεύουν τη σκλήρυνση κατά πλάκας
Alemtuzumab για τη σκλήρυνση κατά πλάκας