Βλεννώδες κυσταδενοκαρκίνωμα των ωοθηκών. Βλεννώδες κυσταδενοκαρκίνωμα των ωοθηκών είναι ένας τύπος καρκίνου των ωοθηκών
Ειδικός Παθολόγος-Ογκολόγος, MD, PhD
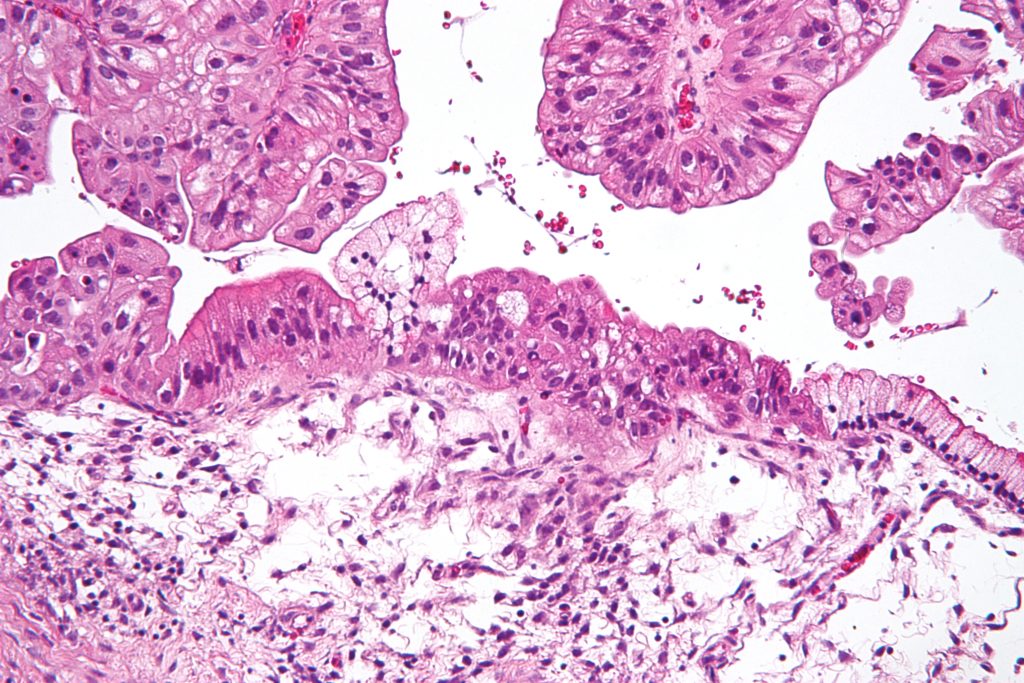
Βλεννώδες κυσταδενοκαρκίνωμα των ωοθηκών
Το βλεννώδες κυσταδενοκαρκίνωμα της ωοθήκης είναι μια σπάνια κακοήθης μορφή των βλεννωδών όγκων των ωοθηκών. Αυτός αντιπροσωπεύει το 5-10% όλων των ωοθηκικών βλεννωδών όγκων. Είναι ένας τύπος ωοθηκικών επιθηλιακών όγκων.
Πολλά βλεννώδη καρκινώματα είναι στην πραγματικότητα μετάσταση από άλλα πρωτοπαθή σημεία.
Η ανάπτυξη βλεννώδους κυσταδενοκαρκινώματος πολύ σπάνια συνδέεται με κακοήθη μετασχηματισμό ενός ώριμου κυστικού τερατώματος.
Το 77% των ωοθηκών βλεννωδών καρκινωμάτων είναι μεταστάσεις και το 23% είναι πρωτοπαθή, που προκύπτουν από ένα καλοήθη ή οριακά κακοήθη όγκο.
Κλινικά χαρακτηριστικά του βλεννώδους κυσταδενοκαρκινώματος των ωοθηκών
Πολυκυστικός όγκος που δημιουργείται από επιθηλιακά κύτταρα της ωοθήκης και εμφανίζει κοιλότητες που είναι γεμάτος με βλέννη.
Τα συμπτώματα περιλαμβάνουν κοιλιακό άλγος με διάταση, διαταραχές εμμήνου ρύσεως, απώλεια βάρους, δυσπαρεύνεια κα ασκίτη. Τα κλινικά ευρήματα είναι τα ίδια με αυτά του ορώδους κυσταδενοκαρκινώματος της ωοθήκης.
Προσοχή, στη διαφοροδιάγνωση (βλεννώδες κυσταδένωμα των ωοθηκών) για να μη γίνονται περιττές θεραπείες!
Οι απομακρυσμένες μεταστάσεις είναι σπάνιες.
Η επιβίωση: 95% για το στάδιο I έναντι 32% για το στάδιο ΙΙ ή μεγαλύτερο
Προγνωστικοί παράγοντες σε βλεννώδες κυσταδενοκαρκίνωμα των ωοθηκών
Κακοί προγνωστικοί παράγοντες για όγκους σταδίου Ι: διηθητική εισβολή, υψηλός πυρηνικός βαθμός και ρήξη του όγκου.
Οι πρωτοπαθείς όγκοι είναι, συνήθως, μονόπλευροι, μεγαλύτεροι από 10 cm, με ομαλή κάψα, κυστικές και συμπαγείς περιοχές ομοιόμορφα κατανεμημένες σε όλη την ωοθήκη, χωρίς, διακριτά οζίδια.
Οι μεταλλάξεις K-ras/Kirsten rat sarcoma viral oncogene homolog/Ομόλογο ογκογονιδίου του ιού του σαρκώματος αρουραίου Kirsten είναι συχνές.
Διαφορική διάγνωση του βλεννώδους κυσταδενοκαρκινώματος των ωοθηκών
- Καρκίνωμα ενδομητριοειδές
- Μεταστατικοί όγκοι: διμερείς όγκοι οποιουδήποτε μεγέθους, μονομερείς όγκοι μικρότεροι από 10-12 cm
- Βλεννώδες κυσταδένωμα των ωοθηκών (καλοήθης όγκος)
Θεραπεία βλεννώδους κυσταδενοκαρκινώματος των ωοθηκών
- Υστερεκτομή
- Αμφοτερόπλευρη σαλπιγγοωοθηκεκτομή συν εκτομή επιπλόου αν είναι υψηλού βαθμού
- Χειρουργική μείωση του όγκου
- Θεραπεία φαρμακευτική ανάλογα με το μοριακό προφίλ όγκου
Προσοχή μη γίνει ρήξη του όγκου στο χειρουργείο!
Να προτιμάτε τις φυσικές θεραπείες για τον καρκίνο, σύμφωνα με το Μοριακό Προφίλ του Όγκου
Η ζωή είναι πολύτιμη.
Η ζωή είναι δική σας. Πάρτε την στα χέρια σας!
Το μοριακό προφίλ του όγκου είναι απαραίτητο και χρήσιμο εργαλείο για τη θεραπευτική σας απόφαση.
Ζητείστε την εξέταση πριν κάνετε οποιαδήποτε θεραπεία. Η ζωή σας είναι πολύτιμη.
Ζητήστε από την EMEDI πληροφορίες για το μοριακό προφίλ του όγκου.


Γράφει η
Δρ Σάββη Μάλλιου Κριαρά
Ειδικός Παθολόγος- Ογκολόγος, MD, PhD
Διαβάστε περισσότερα για την Σάββη Μάλλιου Κριαρά
Τα κατάλληλα συμπληρώματα διατροφής για την υγεία σας
Πατήστε, εδώ, για να παραγγείλετε τα κατάλληλα συμπληρώματα διατροφής για την υγεία σας

Η καθοδήγηση για την επιλογή των ποιων συμπληρωμάτων διατροφής, από τα ανωτέρω, είναι κατάλληλα για την ασθένειά σας θα γίνει σε συνεννόηση με το θεράποντα ιατρό.
Διαβάστε, επίσης
Προσυμπτωματικός έλεγχος για γυναικολογικό καρκίνο
Ρομποτική Χειρουργική στη Γυναικολογία
Όγκοι ωοθηκών από γεννητικά κύτταρα
Έχει σχέση ο καρκίνος μαστού με τον καρκίνο ωοθηκών;
Μπορεί να προκαλέσει καρκίνο η εξωσωματική γονιμοποίηση;




