Οι πέτρες των σιελογόνων αδένων

0
2231

Οι πέτρες των σιελογόνων αδένων. Η παρουσία λίθων σε μείζονα σιελογόνο αδένα μπορεί να προκαλέσει σιαλαδενίτιδα

Οι πέτρες των σιελογόνων αδένων

Η σιαλολιθίαση ή οι πέτρες στους σιελογόνους αδένες ή οι λίθοι των σιελογόνων αδένων, ICD-10 K11.5, είναι μια κατάσταση όπου μια ασβεστοποιημένη πέτρα βρίσκεται εντός ενός σιελογόνου αδένα, συνήθως, στον αγωγό του υπογνάθιου αδένα (που ονομάζεται “αγωγός του Wharton”). Λιγότερο, συχνά, η παρωτίδα ή σπάνια ο υπογλώσσιος αδένας ή ένα μικρός σιελογόνος αδένας μπορεί να πάθουν λιθίαση.

Ο επιπολασμός των λίθων των σιελογόνων αδένων στο γενικό πληθυσμό είναι περίπου 1,2% και προκαλούνται συμπτώματα στο  0,45%. Η σιαλολιθίαση αντιπροσωπεύει περίπου το 50% όλων των νόσων που συμβαίνουν στους μείζονες σιελογόνους αδένες και περίπου το 66% όλων των αποφρακτικών νόσων των σιελογόνων αδένων. Οι λίθοι των σιελογόνων αδένων (πέτρες) είναι δύο φορές πιο συχνοί σε άνδρες από ότι σε γυναίκες. Συμβαίνει σε ηλικίες μεταξύ 30 και 60 ετών και είναι συχνοί και σε παιδιά.

Οι λίθοι, συνήθως, είναι κατασκευασμένοι από μεταλλικά άλατα που αποφράσσουν τον αγωγό που αποστραγγίζει το σάλιο από τους σιελογόνους αδένες στο στόμα και τότε το σάλιο παγιδεύεται στον αδένα. Αυτό μπορεί να προκαλέσει επώδυνη διόγκωση και φλεγμονή του αδένα. Η φλεγμονή των σιελογόνων αδένων ονομάζεται σιαλαδενίτιδα. Η φλεγμονή που συνδέεται με απόφραξη του αγωγού ονομάζεται ”αποφρακτική σιαλαδενίτιδα”. Επειδή, το σάλιο διεγείρεται με τη σκέψη, την όραση ή την οσμή των τροφίμων ή με το μάσημα, ο πόνος και το πρήξιμο θα χειροτερέψουν λίγο πριν και κατά τη διάρκεια ενός γεύματος  και στη συνέχεια σιγά-σιγά μειώνονται μετά το φαγητό, και γι΄αυτό ονομάζεται σύνδρομο των γευμάτων. Η αποφρακτική νόσος των σιελογόνων αδένων ή αποφρακτική σιαλαδενίτιδα, μπορεί, επίσης, να συμβεί λόγω ινοβλεννωδών βυσμάτων, στένωσης του αγωγού, ξένα σώματα, ανατομικές παραλλαγές, ή δυσμορφίες του συστήματος αγωγού που οδηγεί σε ένα μηχανικό εμπόδιο που σχετίζεται με τη στάση του σάλιου στον αγωγό.

Οι πέτρες των σιελογόνων αδένων

Περίπου το 85% των λίθων συμβαίνουν στον υπογνάθιο αδένα και μεταξύ 5-10% συμβαίνουν στην παρωτίδα. Σε περίπου 0-5% των περιπτώσεων, ο υπογλώσσιος αδένας ή ένας μικρός σιελογόνος αδένας επηρεάζεται.

Οι υπογνάθιοι λίθοι ταξινομούνται περαιτέρω ως πρόσθιοι ή οπίσθιοι. Οι πέτρες μπορεί να είναι ακτινοσκιερές, δηλαδή να φαίνονται στις συμβατικές ακτινογραφίες, ή να είναι ακτινοδιαυγαστικές και δεν είναι ορατές στις ακτινογραφίες. Μπορούν, επίσης, να είναι συμπτωματικές ή ασυμπτωματικές, ανάλογα με το αν προκαλούν προβλήματα ή όχι.


Σημεία και συμπτώματα λιθίασης σιελογόνων αδένων

  • Τα συνήθη συμπτώματα είναι ο πόνος και το πρήξιμο των πληγέντων σιελογόνων αδένων, που χειροτερεύουν όταν η ροή σάλιου διεγείρεται, π.χ. με την όραση, τη σκέψη, την οσμή ή τη γεύση των τροφίμων, είτε με την πείνα ή το μάσημα. Αυτό συχνά ονομάζεται “σύνδρομο του φαγητών”. Φλεγμονή ή μόλυνση του αδένα μπορεί να αναπτυχθεί δευτεροπαθώς. Η σιαλολιθίαση μπορεί, επίσης, να αναπτυχθεί λόγω της παρουσίας χρόνιας μόλυνσης των αδένων (σιαλαδενίτιδα), αφυδάτωσης, εξαιτίας των φαινοθειαζινών, του συνδρόμου Sjögren, και/ή της αυξημένης συσσώρευσης τοπικά ασβεστίου, αλλά σε πολλές περιπτώσεις η αιτία είναι ιδιοπαθής (άγνωστη).
  • Τα σημεία και συμπτώματα ποικίλλουν και εξαρτώνται σε μεγάλο βαθμό από το αν η απόφραξη του αγωγού είναι πλήρης ή μερική, και πόση πίεση δημιουργείται εντός του αδένα. Η εξέλιξη της λοίμωξης στον αδένα επηρεάζει, επίσης, τα σημεία και τα συμπτώματα.
  • Ο πόνος, ο οποίος είναι διαλείπων μπορεί ξαφνικά να επιδεινωθεί πριν από τα γεύματα και στη συνέχεια να καλυτερέψει (μερική απόφραξη). 
  • Ευαισθησία του εμπλεκόμενου αδένα.
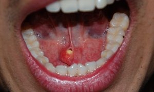
  • Ψηλαφητή διόγκωση στο στόμα, τον τράχηλο ή το πρόσωπο. Αν η πέτρα είναι κοντά στο  στόμιο του υπογνάθιου αγωγού, μπορεί να γίνει αισθητή κάτω από τη γλώσσα.
  • Έλλειψη σιέλου από τον αγωγό (ολική απόφραξη).
  • Ερύθημα (ερυθρότητα) του στόματος (μόλυνση).
  • Εκκένωση πύου από τον αγωγό (μόλυνση).
  • Λεμφαδενίτιδα του τραχήλου (μόλυνση). 
  • Σπανίως, όταν υπάρχουν πέτρες στους μικρούς σιελογόνους αδένες, υπάρχει, συνήθως, μόνο ελαφρά τοπική διόγκωση υπό τη μορφή ενός μικρού όζου και ευαισθησία.
  • Η λιθίαση των σιελογόνων αδένων είναι, συνήθως, μονόπλευρη κι έχει την τάση να υποτροπιάζει. Στο 20% των περιπτώσεων υπάρχουν πολλαπλοί λίθοι.

Αιτίες λίθων σιελογόνων αδένων

Οι μείζονες σιελογόνοι αδένες είναι η παρωτίδα, οι υπογνάθιοι αδένες και οι υπογλώσσιoi αδένες.

Για το σχηματισμό λίθων ευθύνονται: ανωμαλίες στο μεταβολισμό του ασβεστίου και των φωσφορικών, η αφυδάτωση, ο μειωμένος ρυθμός ροής σιέλου, η μεταβολή της οξύτητας (pΗ) του σάλιου από μολύνσεις στοματοφαρυγγικές, η αλλοιωμένη διαλυτότητα των  ανόργανων αλάτων και προϋπάρχουσα χρόνια νόσος που εξασθενεί τον οργανισμό.

Το επόμενο στάδιο περιλαμβάνει τοnσχηματισμό μιας μάζας με διαδοχικά στρώματα με οργανικά και ανόργανα υλικά, σχηματίζοντας τελικά μια ασβεστοποιημένη μάζα. Σε περίπου 15-20% των περιπτώσεων οι λίθοι δεν είναι ασβεστοποιημένοι επαρκώς και δεν είναι ακτινοσκιεροί και ως εκ τούτου είναι δύσκολο να ανιχνευθούν.

Τα υπολείμματα τροφών, τα βακτήρια ή ξένα σώματα από το στόμα, εισάγονται στους αγωγούς ενός σιελογόνου αδένα και παγιδεύονται από ανωμαλίες του μηχανισμού του σφιγκτήρα του ανοίγματος του αγωγού σε 90% των περιπτώσεων (στρεπτόκοκκοι που είναι μέρος της φυσιολογικής στοματικής μικροχλωρίδας και βρίσκονται στην οδοντική πλάκα). Υπάρχει η άποψη ότι οι λίθοι οφείλονται σε ασβεστοποίηση που αναπτύσσεται γύρω από σφηνωμένα κομμάτια τροφής ή οργανικά κατάλοιπα, Η διαδικασία αυτή υποβοηθείται από παράγοντες, που προκαλούν στάση του σάλιου, όπως η χρόνια παρωτίτιδα, το σύνδρομο Sjogren, η κυστική ίνωση και η κακή στοματική υγιεινή.

Ο σχηματισμός πέτρας εμφανίζεται πιο συχνά στον υπογνάθιο αδένα για διάφορους λόγους. Η συγκέντρωση του ασβεστίου στο σάλιο που παράγεται από τον υπογνάθιο αδένα είναι διπλάσια από εκείνη του σάλιου που παράγεται από την παρωτίδα. Το σάλιο του υπογνάθιου αδένα είναι, επίσης, σχετικά αλκαλικό. Ο  υπογνάθιος αγωγός (αγωγός Warton) είναι μακρύς, πράγμα που σημαίνει ότι οι εκκρίσεις σάλιου πρέπει να ταξιδέψουν περισσότερο, πριν από την απόρριψή τους στο στόμα. Ο αγωγός έχει δύο στροφές, την πρώτη στο οπίσθιο όριο του μυλοϋοειδή μυ και τη δεύτερη κοντά στο στόμιο του αγωγού. Η ροή του σάλιου από το υπογνάθιο αδένα είναι συχνά ενάντια στη βαρύτητα λόγω διακυμάνσεων στη θέση του στομίου του αγωγού. Η ίδια η οπή είναι μικρότερη από εκείνη της παρωτίδας. Αυτοί οι παράγοντες προάγουν την επιβράδυνση και τη στάση του σάλιου στον υπογνάθιο αγωγό, καθιστώντας το σχηματισμό μίας απόφραξης με επακόλουθη ασβεστοποίηση.

Οι λίθοι σιελογόνων αδένων, μερικές φορές, συνδέονται με άλλες ασθένειες των σιελογόνων, όπως η χρόνια σιαλαδενίτιδα, αν και η αποφρακτική σιαλαδενίτιδα είναι αποτέλεσμα της λιθίασης.

Η ουρική αρθρίτιδα μπορεί, επίσης, να προκαλέσει πέτρες των σιελογόνων αν και σε αυτή την περίπτωση αποτελούνται από κρυστάλλους ουρικού οξέος, αντί της κανονικής σύνθεσης των σιελογόνων λίθων.


Διαφορική διάγνωση λίθων σιελογόνων αδένων

  • Λεμφαδενίτιδα
  • Σιαλαδενίτιδα
  • Καρκίνος τραχήλου και στοματικής κοιλότητας
  • Ξένο σώμα
  • Οδοντικό απόστημα
  • Καρκίνος σιελογόνων αδένων (μάζα στον τράχηλο χωρίς διόγκωση του προσβεβλημένου σιελογόνου αδένα)

Διάγνωση λίθων σιελογόνων αδένων

Η διάγνωση γίνεται συνήθως από το χαρακτηριστικό ιστορικό και τη φυσική εξέταση. Η διάγνωση μπορεί να επιβεβαιωθεί με ακτίνες Χ κεφαλής και τραχήλου (80% των σιελογόνων αδένων λίθων είναι ορατοί στην ακτινογραφία), ή με σιελογραφία ή υπέρηχο ή αξονική τομογραφία κεφαλής και τραχήλου.


Θεραπεία λίθων σιελογόνων αδένων

Συνήθως, γίνεται αφαίρεση της πέτρας με πολλές διαφορετικές τεχνικές.

Σπάνια, η αφαίρεση του υπογνάθιου αδένα μπορεί να απαιτηθεί σε περιπτώσεις υποτροπών.

Ορισμένες από τις θεραπευτικές επιλογές είναι:

-Μη-επεμβατική: Για μικρές πέτρες, ενυδάτωση, υγρή θεραπεία θερμότητας, ΜΣΑΦ (μη στεροειδή αντιφλεγμονώδη φάρμακα) κατά καιρούς, και τρόφιμα ή ποτά που είναι πικρά ή/και ξινά. Το λεμόνι ή πορτοκάλι, μπορεί να αυξήσει την έκκριση σάλιου και να προωθήσει την αποβολή της πέτρας. Μερικές πέτρες μπορεί να αφαιρεθούν με μασάζ από έναν ειδικό. Λίθοι που απέχουν 2 εκατοστά από το τέλος του πόρου, αφαιρούνται από το στόμα με μάλαξη ή με εκτομή του πόρου. Η μάλαξη του αδένα μπορεί να προκαλέσει μετακίνηση του λίθου στον περιφερικό πόρο.

-Θεραπεία με εξωσωματική λιθοτριψία

Ελάχιστα επεμβατική: Σιαλενδοσκόπηση

Χειρουργική τομή. Ο χειρουργός μπορεί να κάνει μια μικρή τομή κοντά στην πέτρα για να την αφαιρέσει. Σε ορισμένες περιπτώσεις, πολλών υποτροπών ο σιελογόνος αδένας αφαιρείται. Μετά την επέμβαση μπορεί να δημιουργηθεί συρίγγιο ή σιαλαδενίτιδα που θα δημιουργήσει νέες πέτρες, αν και τις περισσότερες φορές η ίαση είναι μόνιμη.

Για την πρόληψη της λοίμωξης, χρησιμοποιούνται αντιβιοτικά, μερικές φορές (αντισταφυλοκοκκικά).

Οι λίθοι της παρωτίδας αφαιρούνται σχεδόν πάντοτε από το στόμα.

Παρακολούθηση γίνεται κάθε 6 μήνες για τυχόν υποτροπή της λιθίασης στον ίδιο αδένα που είχαν εμφανιστεί.

Απαραίτητη είναι η διατήρηση καλής στοματικής υγιεινής.

Υψηλής Ποιότητας Συμπλήρωμα Διατροφής για τη στοματική υγιεινή

Πατήστε, εδώ, για να παραγγείλετε το Υψηλής Ποιότητας Συμπλήρωμα Διατροφής για τη στοματική υγιεινή

Cranberry EMEDI® 30 caps

Τα καλύτερα συμπληρώματα διατροφής για τη στοματική υγιεινή

Πατήστε, εδώ, για να παραγγείλετε τα καλύτερα συμπληρώματα διατροφής για τη στοματική υγιεινή

petres stoma

Η καθοδήγηση για την επιλογή των ποιων συμπληρωμάτων διατροφής, από τα ανωτέρω, είναι κατάλληλα για την ασθένειά σας θα γίνει σε συνεννόηση με το θεράποντα ιατρό

Διαβάστε, επίσης,

Αμυλάση

Στοματίτιδα

Το καλύτερο φάρμακο για την ξηροστομία

Όγκοι σιελογόνων αδένων

Όγκοι σιελογόνων αδένων Όγκοι σιελογόνων αδένων

www.emedi.gr

 

Print Friendly, PDF & Email

ΑΦΗΣΤΕ ΜΙΑ ΑΠΑΝΤΗΣΗ

εισάγετε το σχόλιό σας!
παρακαλώ εισάγετε το όνομά σας εδώ