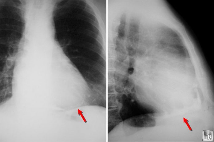
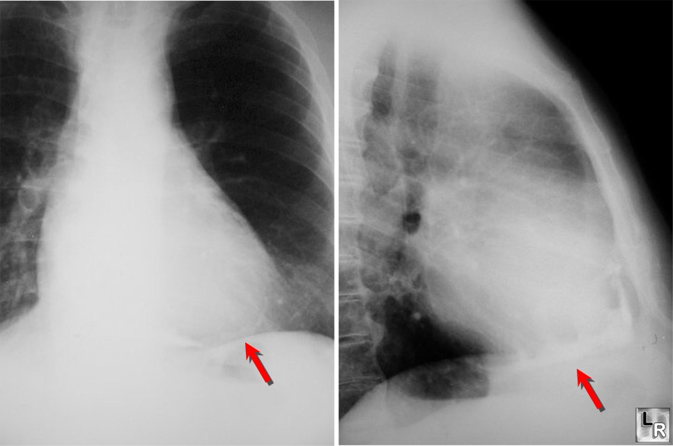
Φυματιώδης περικαρδίτιδα

0
708

Η περικαρδίτιδα που προκαλείται από φυματίωση

Η φυματιώδης περικαρδίτιδα, ICD-10-CM A18.84 ή φυματίωση του περικαρδίου, προκαλείται από άμεση επέκταση από μεσοθωρακικούς φυματιώδεις λεμφαδένες ή λόγω αιματογενούς διασποράς.

Αιτίες περικαρδίτιδας

  • Ρήξη τυρεοειδοποιημένου λεμφαδένα
  • Λεμφοαιματογενής διασπορά
  • Αιματογενής διασπορά
  • Μυκοβακτηρίδιο της φυματίωσης

Χαρακτηρίζεται από περικαρδιακό ήχο τριβής, περικαρδιακή διήθηση, πυρετό, ταχυκαρδία, θωρακικό άλγος και ταχύπνοια.

Η περικαρδίτιδα που προκαλείται από φυματίωση είναι δύσκολο να διαγνωσθεί, επειδή η οριστική διάγνωση απαιτεί την καλλιέργεια του Mycobacterium tuberculosis από αναρρόφηση του περικαρδιακού υγρού ή περικαρδιακή βιοψία, η οποία απαιτεί τεχνική δεξιότητα και συχνά δεν είναι διαγνωστική (η απόδοση από την καλλιέργεια είναι χαμηλή, ακόμα και με τα βέλτιστα δείγματα).

Το σύστημα βαθμολόγησης Tygerberg βοηθά τον γιατρό να διαγνώσει αν η περικαρδίτιδα οφείλεται σε φυματίωση ή εάν οφείλεται σε άλλη αιτία: νυχτερινές εφιδρώσεις (1 βαθμός), απώλεια βάρους (1 βαθμός), πυρετός (2 βαθμοί),  σφαιρίνες ορού > 40g / l (3 βαθμοί), συνολικός αριθμός λευκοκυττάρων <10 x 109 / l (3 βαθμοί).

Μια συνολική βαθμολογία  6 ή περισσότερων βαθμών υποδηλώνει έντονα τη φυματιώδη περικαρδίτιδα. Περικαρδιακό υγρό με ένα επίπεδο ιντερφερόνης-γ μεγαλύτερο από 50pg / ml είναι απόδειξη για φυματιώδη περικαρδίτιδα.

Δεν υπάρχουν τυχαιοποιημένες μελέτες που να αξιολογούν τη διάρκεια της θεραπείας κατά της φυματίωσης που απαιτείται για φυματιώδη περικαρδίτιδα (ισονιαζίδη, εθαμβουτόλη, ριφαμπικίνη, στρεπτομυκίνη, καμυκίνη, καπρεομυκίνη, πυραζιναμίδη, πυριδοξίνη, αιθιοναμίδη, κυκλοσερίνη).

Γίνεται θεραπεία με ένα πρόγραμμα στερεοειδών με αντιφυματικά φάρμακα. Η ανοικτή χειρουργική παροχέτευση του υγρού αν και είναι αποτελεσματική στην πρόληψη του καρδιακού επιπωματισμού συνδέεται με περισσότερους θανάτους.

Τα κατάλληλα συμπληρώματα διατροφής για τις λοιμώξεις

Πατήστε, εδώ, για να παραγγείλετε τα κατάλληλα συμπληρώματα διατροφής για τις λοιμώξεις

 

Η καθοδήγηση για την επιλογή των ποιων συμπληρωμάτων διατροφής, από τα ανωτέρω, είναι κατάλληλα για την ασθένειά σας θα γίνει σε συνεννόηση με το θεράποντα ιατρό.

Διαβάστε, επίσης,

Φυματιώδης περιτονίτιδα

Φυματιώδης πλευρίτιδα

Χρήσιμες ιατρικές συνταγές με παπαρούνες

Κεγχροειδής φυματίωση

Το καλύτερο διαγνωστικό τεστ για τη φυματίωση

Φυματίωση του νεφρού

Διαγνωστική προσέγγιση της φυματίωσης

Χρήσιμες ιατρικές συνταγές με πεύκο

Εναλλακτικές θεραπείες για τη φυματίωση

Ο ασθενής με δύσπνοια στα επείγοντα

Ιατρικές συνταγές με γαϊδουράγκαθο

Προσοχή όταν υπάρχει μεγάλη υπεζωκοτική συλλογή

Διαφορική διάγνωση πλευρίτιδας

Τεστ αναπνοής για τις λοιμώξεις του πνεύμονα

Παρακέντηση υπεζωκότα

Πλευρίτιδα

Ζαμπούκος ο μαύρος

Το ελληνικό φαρμακείο της φύσης σας προσφέρει μια υπερτροφή

Η λεβάντα

Ιατρικές συνταγές με το γκι

Ιατρικές συνταγές με θυμάρι 

Ο ζαμπούκος είναι πολύτιμος για τις λοιμώξεις

Το αγριόσκορδο

Σκόρδο με μέλι για τις λοιμώξεις

Τα πικρά θεραπεύουν τον καρκίνο

Χρήσιμες ιατρικές συνταγές με ευκάλυπτο

Η βελανιδιά

Απήγανος

Eμβόλιο BCG 

Όταν κάποιος φτύνει αίμα

Αγριμόνιο

Διαφορική διάγνωση πλευρίτιδας

Τριγωνέλλα η ελληνική

Μάθετε όλα τα μυστικά του σκόρδου

Σύγχρονη διάγνωση της φυματίωσης

Οι αιτίες απώλειας βάρους

Αντιφυματικά φάρμακα

Εθνικό πρόγραμμα εμβολιασμών

Μέτρα σε μεταδοτικά νοσήματα

Κλασσική αντιφυματική αγωγή διάρκειας 6 μηνών

Παρακέντηση υπεζωκότα

Οι ενδοκρινολογικές αιτίες πυρετού

Echinacea Compositum

Αιμόπτυση

Marsdenia cundurango

Νοσήματα ενδεικτικά πιθανού AIDS στα παιδιά

www.emedi.gr

 

Print Friendly, PDF & Email

ΑΦΗΣΤΕ ΜΙΑ ΑΠΑΝΤΗΣΗ

εισάγετε το σχόλιό σας!
παρακαλώ εισάγετε το όνομά σας εδώ