Φυματιώδης μηνιγγίτιδα

    0
    1589

    Η φυματώδης μηνιγγίτιδα είναι βαριά μηνιγγίτιδα που προκαλείται από το μυκοβακτηρίδιο της φυματίωσης

    Η φυματιώδης μηνιγγίτιδα, ICD-10 A17.0, G01 ή φυματίωση των μηνίγγων είναι η λοίμωξη των μηνίγγων, δηλαδή των μεμβρανών οι οποίες περιβάλλουν το κεντρικό νευρικό σύστημα, από το Mycobacterium tuberculosis. Είναι η πιο συχνή μορφή της φυματίωσης του ΚΝΣ.


    Αιτία φυματιώδους μηνιγγίτιδας

    Αιτία της φυματιώδους μηνιγγίτιδας είναι το μυκοβακτηρίδιο της φυματίωσης, κατόπιν ρήξης μιας μεταστατικής υποεπενδυματικής εστίας φυματίωσης μέσα στον υπαραχνοειδή χώρο.

    Η επίπτωση της φυματιώδους μηνιγγίτιδας είναι υψηλότερη στα παιδιά ηλικίας 1-6 ετών και η πορεία είναι οξεία.


    Κλινικά χαρακτηριστικά της φυματιώδους μηνιγγίτιδας

    Ο πυρετός και πονοκέφαλος είναι τα κύρια χαρακτηριστικά. Η σύγχυση και το κώμα δείχνουν φτωχή πρόγνωση. Ο μηνιγγισμός είναι απών στο ένα πέμπτο των ασθενών με φυματιώδη μηνιγγίτιδα. Οι ασθενείς μπορεί, επίσης, να έχουν εστιακά νευρολογικά ελλείμματα.


    Παθολογία της φυματιώδους μηνιγγίτιδας

    Η φλεγμονή έχει επεκταθεί προς τη βάση του εγκεφάλου. Όταν η φλεγμονή είναι στην περιοχή του υπαραχνοειδούς χώρου του εγκεφαλικού στελέχους οι ρίζες των κρανιακών νεύρων μπορεί να προσβληθούν. Τα συμπτώματα μιμούνται εκείνα των χωροκατακτητικών βλαβών. Η μόλυνση αρχίζει στους πνεύμονες και μπορεί να εξαπλωθεί στις μήνιγγες με πολλούς τρόπους.

    Μεταδίδεται με το αίμα. Το 25% των ασθενών με κεχροειδή φυματίωση έχουν φυματίωση μηνιγγίτιδα, λόγω της διέλευσης του μυκοβακτηριδίου από τον αιματοεγκεφαλικό φραγμό. Ένα ποσοστό των ασθενών μπορεί να πάθει φυματιώδη μηνιγγίτιδα από ρήξη μιας φλοιώδους εστίας στον εγκέφαλο και ένα ακόμη μικρότερο ποσοστό από ρήξη μιας οστικής εστίας στη σπονδυλική στήλη. Είναι σπάνιο και ασυνήθιστο η φυματίωση της σπονδυλικής στήλης να προκαλέσει τη φυματίωση του κεντρικού νευρικού συστήματος, αλλά μεμονωμένες περιπτώσεις έχουν περιγραφεί.


    Διάγνωση της φυματιώδους μηνιγγίτιδας
    Η διάγνωση της φυματίωσης μηνιγγίτιδας γίνεται με την ανάλυση του εγκεφαλονωτιαίου υγρού που συλλέγεται από οσφυονωτιαία παρακέντηση. Κατά τη συλλογή του ΕΝΥ σε υποψία μηνιγγίτιδας φυματίωσης, θα πρέπει να λαμβάνεται τουλάχιστον 1 ml του υγρού (κατά προτίμηση 5 έως 10 ml).

    Το ΕΝΥ έχει συνήθως υψηλή περιεκτικότητα σε πρωτεΐνη, χαμηλή γλυκόζη και αυξημένο  αριθμό λεμφοκυττάρων. Τα οξεάντοχα βακτήρια είναι μερικές φορές διακρίνονται στο επίχρισμα ΕΝΥ, αλλά πιο συχνά, το M. tuberculosis αναπτύσσεται σε καλλιέργεια. Ένας θρόμβος στο συγκεντρωμένο ΕΝΥ είναι χαρακτηριστικό της φυματιώδους μηνιγγίτιδας, αλλά αυτό είναι ένα σπάνιο εύρημα.

    Η δοκιμή ELISPOT δεν είναι χρήσιμη για τη διάγνωση της οξείας φυματίωσης των μηνίγγων και συχνά, είναι ψευδώς αρνητικό,  αλλά μπορεί παραδόξως να γίνει θετικό μετά την έναρξη της θεραπείας, η οποία βοηθά στην επιβεβαίωση της διάγνωσης. 

    Περισσότερες από τις μισές των περιπτώσεων της φυματιώδους μηνιγγίτιδας δεν μπορεί να επιβεβαιωθεί μικροβιολογικά, και αυτοί οι ασθενείς λαμβάνουνθεραπεία με βάση την κλινική υποψία και μόνο. Η καλλιέργεια της φυματίωσης από το εγκεφαλονωτιαίο υγρό διαρκεί τουλάχιστον δύο εβδομάδες, και ως εκ τούτου, η πλειοψηφία των ασθενών με φυματιώδη μηνιγγίτιδα ξεκινούν θεραπεία πριν επιβεβαιωθεί η διάγνωση.

    Δοκιμασίες πολλαπλασιασμού των νουκλεϊνικών οξέων: Αυτή είναι μια ετερογενής ομάδα  δοκιμών που χρησιμοποιούν την αλυσιδωτή αντίδραση πολυμεράσης (PCR) για την ανίχνευση του νουκλεϊκού οξέοςτου  μυκοβακτηριακού . Αυτά τα τεστ διαφέρουν στο ποια αλληλουχία νουκλεϊκών οξέων ανιχνεύουν και ποικίλουν ως προς την ακρίβεια τους. 

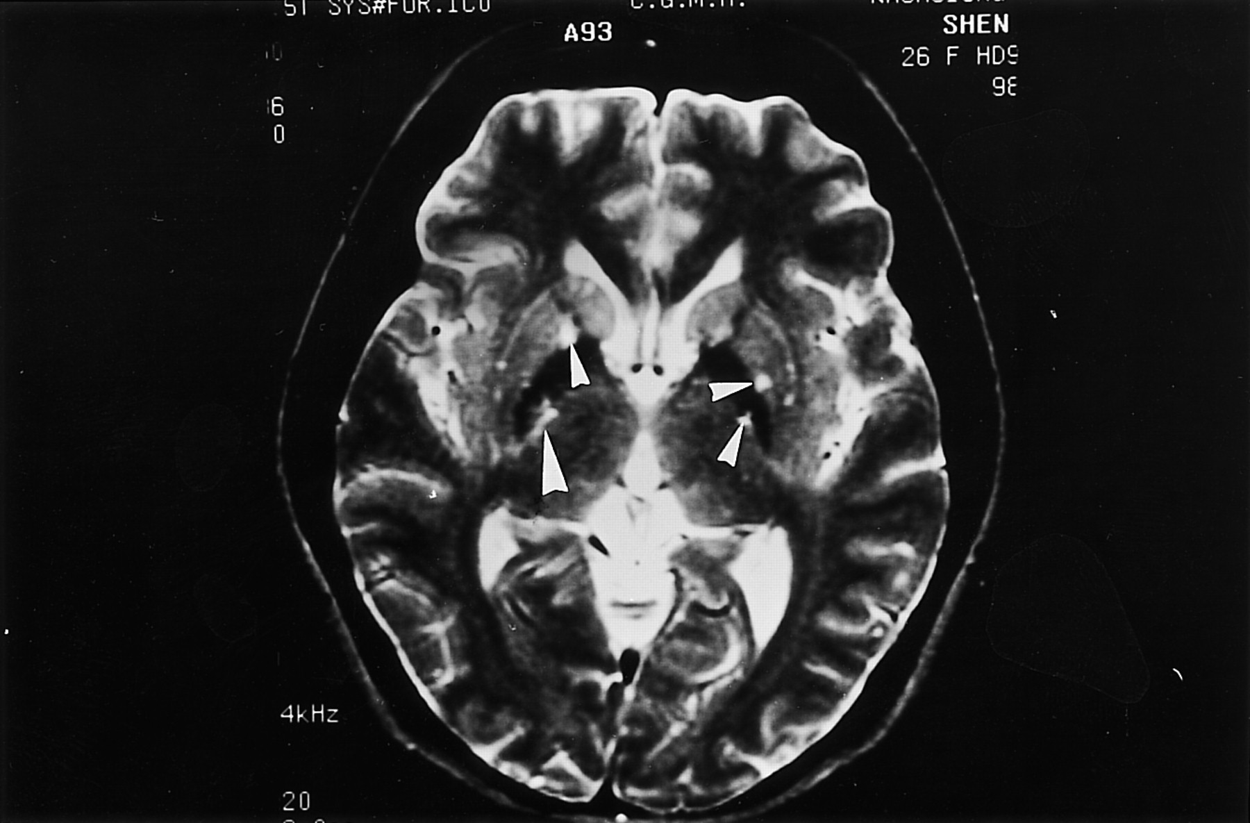
    Οι μελέτες απεικόνισης, όπως η αξονική ή η μαγνητική τομογραφία μπορεί να δείξουν κάποια χαρακτηριστικά που υποδηλώνουν φυματίωση των μηνίγγων.


    Θεραπεία της φυματιώδους μηνιγγίτιδας

    Η θεραπεία της φυματιώδους μηνιγγίτιδας είναι ισονιαζίδη, ριφαμπικίνη, πυραζιναμίδη, αιθαμβουτόλη για δύο μήνες, που ακολουθείται από ισονιαζίδη και ριφαμπικίνη για δέκα ακόμη μήνες. Τα στερεοειδή βοηθούν στη μείωση του κινδύνου θανάτου και στην πρόληψη νευρολογικών ελλειμμάτων. Τα στερεοειδή μπορούν να χρησιμοποιηθούν τις πρώτες έξι εβδομάδες της θεραπείας, αλλά πρέπει να χρησιμοποιούνται με προσοχή σε άτομα που πάσχουν και από HIV. Ορισμένοι ασθενείς μπορεί να απαιτήσουν ανοσοτροποποιητικούς παραγόντων, όπως η θαλιδομίδη.

    Η θεραπεία πρέπει να ξεκινήσει το συντομότερο σε υποψία φυματιώδους μηνιγγίτιδας. Η θεραπεία δεν πρέπει να καθυστερήσει και δεν απαιτείται πριν να γίνει  επιβεβαίωση της διάγνωσης.

    Υδροκέφαλος εμφανίζεται ως επιπλοκή σε περίπου ένα τρίτο των ασθενών με φυματιώδη μηνιγγίτιδα και θα απαιτήσει παροχέτευση των κοιλιακή εγκεφάλου. Η προσθήκη της ασπιρίνης μπορεί να μειώσει ή να καθυστερήσει τη θνησιμότητα, ενδεχομένως με μείωση των επιπλοκών, όπως τα έμφρακτα.

    Τα κατάλληλα συμπληρώματα διατροφής για τις λοιμώξεις

    Πατήστε, εδώ, για να παραγγείλετε τα κατάλληλα συμπληρώματα διατροφής για τις λοιμώξεις

     

    Η καθοδήγηση για την επιλογή των ποιων συμπληρωμάτων διατροφής, από τα ανωτέρω, είναι κατάλληλα για την ασθένειά σας θα γίνει σε συνεννόηση με το θεράποντα ιατρό.

    Διαβάστε, επίσης,

    Κεγχροειδής φυματίωση

    Υδροκέφαλος

    Λεπτομηνιγγική καρκινωμάτωση

    Φυματιώδης περικαρδίτιδα

    Κεγχροειδής φυματίωση

    Υδροκέφαλος

    Λεπτομηνιγγική καρκινωμάτωση

    Φυματιώδης περικαρδίτιδα

    Φυματιώδης περιτονίτιδα

    Φυματιώδης πλευρίτιδα

    Χρήσιμες ιατρικές συνταγές με παπαρούνες

    Κεγχροειδής φυματίωση

    Το καλύτερο διαγνωστικό τεστ για τη φυματίωση

    Φυματίωση του νεφρού

    Διαγνωστική προσέγγιση της φυματίωσης

    Χρήσιμες ιατρικές συνταγές με πεύκο

    Εναλλακτικές θεραπείες για τη φυματίωση

    Ο ασθενής με δύσπνοια στα επείγοντα

    Ιατρικές συνταγές με γαϊδουράγκαθο

    Προσοχή όταν υπάρχει μεγάλη υπεζωκοτική συλλογή

    Διαφορική διάγνωση πλευρίτιδας

    Τεστ αναπνοής για τις λοιμώξεις του πνεύμονα

    Παρακέντηση υπεζωκότα

    Πλευρίτιδα

    Ζαμπούκος ο μαύρος

    Το ελληνικό φαρμακείο της φύσης σας προσφέρει μια υπερτροφή

    Η λεβάντα

    Ιατρικές συνταγές με το γκι

    Ιατρικές συνταγές με θυμάρι 

    Ο ζαμπούκος είναι πολύτιμος για τις λοιμώξεις

    Το αγριόσκορδο

    Σκόρδο με μέλι για τις λοιμώξεις

    Τα πικρά θεραπεύουν τον καρκίνο

    Χρήσιμες ιατρικές συνταγές με ευκάλυπτο

    Η βελανιδιά

    Απήγανος

    Eμβόλιο BCG 

    Όταν κάποιος φτύνει αίμα

    Αγριμόνιο

    Διαφορική διάγνωση πλευρίτιδας

    Τριγωνέλλα η ελληνική

    Μάθετε όλα τα μυστικά του σκόρδου

    Σύγχρονη διάγνωση της φυματίωσης

    Οι αιτίες απώλειας βάρους

    Αντιφυματικά φάρμακα

    Εθνικό πρόγραμμα εμβολιασμών

    Μέτρα σε μεταδοτικά νοσήματα

    Κλασσική αντιφυματική αγωγή διάρκειας 6 μηνών

    Παρακέντηση υπεζωκότα

    Οι ενδοκρινολογικές αιτίες πυρετού

    Echinacea Compositum

    Αιμόπτυση

    Marsdenia cundurango

    Νοσήματα ενδεικτικά πιθανού AIDS στα παιδιά

    www.emedi.gr

     

    Print Friendly, PDF & Email

    ΑΦΗΣΤΕ ΜΙΑ ΑΠΑΝΤΗΣΗ

    εισάγετε το σχόλιό σας!
    παρακαλώ εισάγετε το όνομά σας εδώ