Η κολπική αδένωση από πολλούς θεωρείται προκαρκινωματώδης κατάσταση
Ειδικός Παθολόγος-Ογκολόγος, MD, PhD
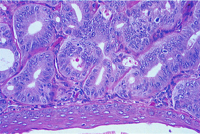
Η κολπική αδένωση, ICD-10 Q52.4. ή αδενωμάτωση του κόλπου ή αδενοϊνώδης κολπίτιδα περιγράφει την παρουσία κυλινδρικού αδενικού επιθηλίου στον κόλπο. Κατά την 15η εβδομάδα της εμβρυϊκής ανάπτυξης, ο πόρος του Muller που σχηματίζει τα ανώτερα 2/3 του κόλπου ενώνεται με την εγκολεαζόμενη αμάρα που σχηματίζει το κατώτερο τμήμα του κόλπου. Στη συνέχεια η πλακώδης μεταπλασία από την αμάρα σχηματίζει πλακώδες επιθήλιο κατά μήκος του κόλπου. Αδένωση δημιουργείται όταν ο κόλπος δεν καλύπτεται πλήρως από πλακώδες επιθήλιο.
Άλλες ανωμαλίες του γεννητικού συστήματος από τον πόρο του Muller είναι το επικάλυμμα τραχήλου, το όγκωμα, ο βραχύς τράχηλος και ο ατελής τράχηλος.
Απαιτείται έλεγχος γεννητικού συστήματος πριν τη σύλληψη σε ασθενείς που έχουν πάρει διαιθυλστιλβεστρόλη (πρόληψη αυτόματης έκτρωσης τη δεκαετία 1970).
Η κολπική αδένωση είναι μία καλοήθης ανωμαλία στον κόλπο, και πιστεύεται ότι προκαλείται από την ενδομήτρια και νεογνική έκθεση στην διαιθυλοστιλβεστρόλη και άλλα προγεσταγόνα και τα μη στεροειδή οιστρογόνα, ωστόσο παρατηρείται και σε άλλες υγιείς γυναίκες ιδιοπαθώς ή εκ γενετής. Μεταεφηβικές βλάβες έχουν, επίσης, παρατηρηθεί.
Παρατηρείται σε 10% των ενήλικων νεαρών γυναικών. Με την ωρίμανση του γεννητικού συστήματος κατά την εφηβεία εμφανίζεται πλακώδης επιθηλιοποίηση. Γι’ αυτό η επικρατέστερη ηλικία είναι από την εφηβεία μέχρι τη 2η δεκαετία ζωής. Σπάνια εμφανίζεται στην ηλικία 30 ετών.
Αιτίες κολπικής αδένωσης
Η κολπική αδένωση οφείλεται σε ατελή πλακώδη μεταπλασία η οποία αποτελεί φυσιολογικό φαινόμενο και υποχωρεί με την ηλικία.
Σε γυναίκες που είχαν εκτεθεί σε ορισμένες χημικές ουσίες (διαιθυλστιλβεστρόλη DES), η κολπική αδένωση είναι συχνή, μέχρι και 90%. Δεδομένου ότι δεν λαμβάνονται πια συχνά αντισυλληπτικά η συχνότητα έχει μειωθεί. Ο κίνδυνος, ωστόσο, εξακολουθεί να υπάρχει στις επόμενες γενεές λόγω της πρόσφατης έκθεσης. Οι στεροειδείς ορμόνες παίζουν ένα διεγερτικό ρόλο στην ανάπτυξη της αδένωσης. Κολπική αδένωση, επίσης, συχνά παρατηρείται σε ασθενείς με αδενοκαρκίνωμα κόλπου.
Διαφορική διάγνωση κολπικής αδένωσης
Αδενοκαρκίνωμα κόλπου. Κατά την επισκόπηση η αδένωση εμφανίζεται σαν μια λεπτή, ερυθρά υπέγερση αδενικού τύπου.
Διάγνωση κολπικής αδένωσης
Τεστ Παπανικολάου και των τεσσάρων τεταρτημορίων του κόλπου μια φορά το χρόνο. Όταν ολοκληρωθεί η πλακώδης μεταπλασία δεν απαιτείται τεστ Παπανικολάου και των τεσσάρων τεταρτημορίων.
Κολποσκόπηση η οποία αναδεικνύει κυλινδρικό επιθήλιο όμοιο με του τραχήλου με εφαρμογή διαλύματος Lugol. Μπορεί να φαίνονται ως οζίδια ή κύστεις στο κολπικό σωλήνα. Παθολογοανατομικά διακρίνεται η πλακώδης μεταπλασία η εξελισσόμενη.

Θεραπεία κολπικής αδένωσης
Συντηρητική αντιμετώπιση γίνεται και υποχωρεί. Στην μεγαλύτερη πλειοψηφία των ασθενών επισυμβαίνει πλακώδης μεταπλασία με πλήρη εξαφάνιση της αδένωσης.
Ένα πολύ μικρό ποσοστό αναπτύσσει καρκίνο του κόλπου.
Χειρουργική εκτομή ή εκτομή με λέιζερ γίνεται σε προκαρκινωματώδεις ή καρκινωματώδεις καταστάσεις.
Προσοχή!
Στην εμμηνόπαυση ο κόλπος και ο τράχηλος έχουν επιθηλιοποιηθεί πλήρως. Η παρουσία κυλινδρικού επιθηλίου σε μεταεμμηνοπαυσιακές γυναίκες αποτελεί ένδειξη για στενή παρακολούθηση για καλώς διαφοροποιημένο αδενοκαρκίνωμα.
Στην κύηση προκαλείται αναστροφή της ζώνης μετάπτωσης τραχήλου, μερικές φορές μέχρι ον θόλο του κόλπου και δίνεται η εντύπωση αδένωσης η οποία υποχωρεί μετά τον τοκετό.
Να προτιμάτε τις φυσικές θεραπείες για τον καρκίνο κόλπου, σύμφωνα με το Μοριακό Προφίλ του Όγκου
Η ζωή είναι πολύτιμη.
Η ζωή είναι δική σας. Πάρτε την στα χέρια σας!
Το μοριακό προφίλ του όγκου είναι απαραίτητο και χρήσιμο εργαλείο για τη θεραπευτική σας απόφαση.
Ζητείστε την εξέταση πριν κάνετε οποιαδήποτε θεραπεία. Η ζωή σας είναι πολύτιμη.
Ζητήστε από την EMEDI πληροφορίες για το μοριακό προφίλ του όγκου.
Διαβάστε περισσότερα για την Σάββη Μάλλιου Κριαρά
Εμπιστευθείτε τους διατροφικούς συμβούλους της EMEDI
Εμπιστευθείτε το ογκολογικό συμβούλιο της EMEDI
Τα κατάλληλα συμπληρώματα διατροφής για τον καρκίνο κόλπου
Πατήστε, εδώ, για να παραγγείλετε τα κατάλληλα συμπληρώματα διατροφής για τον καρκίνο κόλπου
Η καθοδήγηση για την επιλογή των ποιων συμπληρωμάτων διατροφής, από τα ανωτέρω, είναι κατάλληλα για την ασθένειά σας θα γίνει σε συνεννόηση με το θεράποντα ιατρό.
Διαβάστε, επίσης,
Πότε να ανησυχείτε για τις κολπικές εκκρίσεις σας
Γνωστοί παράγοντες που προκαλούν καρκίνο
Καρκίνος του τραχήλου της μήτρας
Λοιμώξεις γεννητικών οργάνων γυναίκας
Πρόληψη του καρκίνου του τραχήλου της μήτρας
Πονάτε κατά την σεξουαλική επαφή;






