Το κρανιοφαρυγγίωμα είναι καλοήθης όγκος του τουρκικού εφιππίου
Ειδικός Παθολόγος-Ογκολόγος, MD, PhD
Το κρανιοφαρυγγίωμα, ICD-10 D44.4 είναι ένας τύπος εγκεφαλικού όγκου που προέρχεται από τον εμβρυϊκό ιστό της υπόφυσης και εμφανίζεται πιο συχνά σε παιδιά, αλλά και σε άνδρες και γυναίκες στα 50 και τα 60 τους.
Η κύστη Rathke ή κρανιοφαρυγγίωμα ή όγκος του θυλάκου του Rathke ή κύστη επί του τουρκικού εφιππίου ή επιδερμοειδής όγκος της υπόφυσης ή αδαμαντίνωμα ή αδαμαντίνωμα της υπόφυσης είναι μια καλοήθης κύστη στην υπόφυση του εγκεφάλου, γεμάτη υγρό στο οπίσθιο τμήμα της πρόσθιας υπόφυσης.
Οι ασθενείς μπορεί να παρουσιάσουν αμφικροταφική ημιανοψία, γιατί ο όγκος μπορεί να συμπιέσει το οπτικό χίασμα.
Παρατηρείται σε 2 άτομα στα 100000.
Το κρανιοφαρυγγίωμα είναι ένα σπάνιο, συνήθως υπερεφιππιακό νεόπλασμα, το οποίο μπορεί να είναι κυστικό και αναπτύσσεται από τις φωλιές του επιθηλίου που προέρχονται από τη θήκη του Rathke. Ο θύλακας Rathke είναι ο εμβρυακός πρόδρομος της πρόσθιας υπόφυσης.
Τα κρανιοφαρυγγιώματα είναι, συνήθως, πολύ αργά αναπτυσσόμενοι όγκοι. Προκύπτουν από τα κύτταρα κατά μήκος του μίσχου της υπόφυσης, συγκεκριμένα από τις φωλιές του οδοντογενούς επιθηλίου εντός της υπερεφιππιακής και διεγκεφαλικής περιοχής και, ως εκ τούτου μπορεί να περιέχουν εναποθέσεις ασβεστίου η να περιβάλλονται από ασβέστιο και είναι εμφανείς σε μια ακτινογραφία.
Τα κρανιοφαρυγγιώματα είναι καλοήθεις όγκοι. Ωστόσο, όπως και με πολλούς όγκους του εγκεφάλου, η θεραπεία τους μπορεί να είναι δύσκολη, και σημαντική νοσηρότητα εμφανίζεται τόσο από τον όγκο όσο και από τη θεραπεία.
Οι Κύστεις Rathke είναι καλοήθεις, κυστικές εξεργασίες του εγκεφάλου, συγγενούς προέλευσης.
Συχνότερα εντοπίζονται μέσα στο τουρκικό εφίππιο, αλλά είναι δυνατόν να εντοπιστούν και υπερεφιππιακά. Πιστεύεται ότι προέρχονται από εμβρυικά υπολείμματα του θύλακα Rathke.
Μολονότι είναι συγγενείς, φαίνεται πως το μέγεθός τους διευρύνεται κατά τη διάρκεια της ζωής, για αυτό και ενώ είναι σπάνια στην παιδική ηλικία, αποτελούν συχνό εύρημα στους ενήλικες. Υπάρχει μια σαφή επικράτηση στις γυναίκες, με μια αναλογία αντρών/γυναικών περίπου 2:1.
Παθολογία κρανιοφαρυγγιώματος
Προέρχονται από εμβρυολογικά απομεινάρια του θύλακα Rathke. Κατά την 24η ημέρα της εμβρυϊκής ζωής, ο θύλακας Rathke προκύπτει ως εγκόλπωµα του ραχιαίου τοιχώµατος του αρχέγονου στόµατος και είναι επενδεδυμένος με επιθηλιακά κύτταρα εκτοδερμικής προέλευσης. Περίπου την ίδια ώρα, εμφανίζεται και µια µικρή προς τα κάτω προσεκβολή του εδάφους του διεγκεφάλου, που καλείται χοάνη. Περίπου την πέμπτη εβδομάδα, ο θύλακας Rathke έρχεται σε επαφή με την χοάνη, και κατά την έκτη εβδομάδα, ο θύλακας Rathke χωρίζει από το επιθήλιο του στόματος με μια σύσφιξη. Έτσι σχηματίζεται η υπόφυση η οποία αποτελείται στην πραγματικότητα από δύο αδένες, την νευροϋπόφυση που είναι ο οπίσθιος λοβός, που προέρχεται από την χοάνη του διεγκεφάλου και την αδενοϋπόφυση που είναι ο πρόσθιος λοβός που προέρχεται από τον θύλακα Rathke. Αν παραμείνει ανοικτή σε κάποιο σημείο η σχισμή του θύλακα του Rathke τότε μπορεί να διευρυνθεί σε μέγεθος και να σχηματίσει μια κύστη.
Παθολογοανατομικά, το μέγεθος της κύστης μπορεί να ποικίλει από 2 έως και 40 mm. Το τοίχωμα της συνήθως είναι λεπτό και διαφανές, ενώ το υγρό της συνήθως είναι παχύρρευστο ή ζελατινώδες, κιτρινωπής απόχρωσης. Κατά την ιστολογική εξέταση, οι κύστεις, συνήθως, αποτελούνται από αγγειούμενο στρώμα συνδετικού ιστού που επενδύεται εσωτερικά από στοιβάδα βλεφαριδωτού επιθηλίου και καλυκοειδή κύτταρα.
Σημεία και συμπτώματα κρανιοφαρυγγιώματος
Συνηθέστερα δεν προκαλούν συμπτώματα και έτσι συνήθως ανακαλύπτονται τυχαία.
Οι περισσότερες κύστεις είναι μικρότερες των 2 cm σε διάμετρο.
Οι συμπτωματικές κύστεις Rathke είναι γενικά ασυνήθιστες, αλλά μπορεί να διευρυνθούν σε μέγεθος σε βάθος του χρόνου και να προκαλέσουν συμπτώματα δευτερογενή λόγω συμπίεσης του αδένα της υπόφυσης, του οπτικού χιάσματος, ή του υποθαλάμου. Έτσι μπορούν να προκαλέσουν υποφυσιακή ανεπάρκεια και διαταραχές των οπτικών πεδίων. Συχνό σύμπτωμα είναι η κεφαλαλγία. Οι νεότεροι ασθενείς, ηλικίας 4-22 ετών, έχουν ενδείξεις υποϋποφυσισμού από νεαρή ηλικία, με αποτέλεσμα την καθυστέρηση της ανάπτυξης. Το δεύτερο πιο κοινό σύμπτωμα είναι η οπτική διαταραχή, η οποία αφορά ελαττώματα του οπτικού πεδίου που προκύπτουν από χιασματική συμπίεση. Άλλα ασυνήθιστα συμπτώματα σχετίζονται με αποπληξία της υπόφυσης, υποφυσίτιδα, γιγαντιαία ανάπτυξη της κύστης, άσηπτη μηνιγγίτιδα, ενδοκυστικό απόστημα, σφηνοειδίτιδα, και σύνδρομο κενού τουρκικού εφιππίου.
Συμπτώματα και σημεία κρανιοφαρυγγιώματος
- Διαταραχή της ισορροπίας
- Ξηρό δέρμα
- Κόπωση
- Πυρετός
- Πονοκέφαλος (αποφρακτική υδροκεφαλία)
- Υπερυπνία
- Λήθαργος
- Μυξοίδημα
- Ναυτία
- Κοντό ανάστημα
- Πολυδιψία
- Πολυουρία (άποιος διαβήτης)
- Απώλεια της όρασης (αμφικροταφική ημιανοψία)
- Εμετός
- Αύξηση βάρους

Διάγνωση κρανιοφαρυγγιώματος
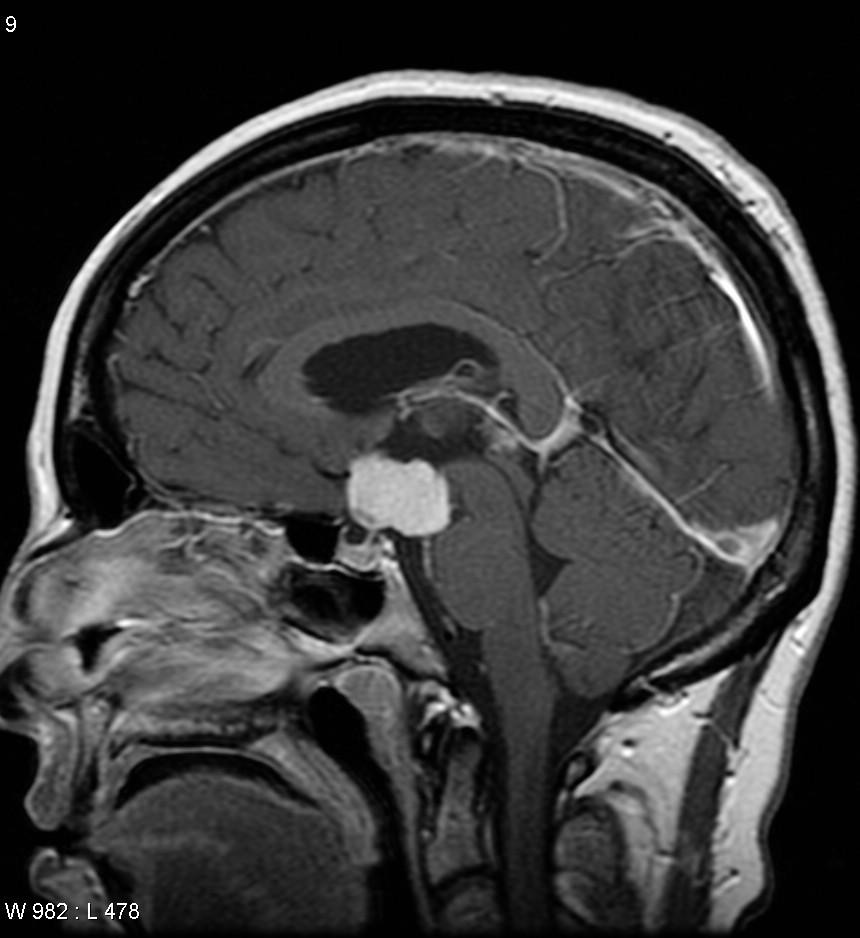
Με την αξονική και την μαγνητική τομογραφία αποτελούν αρκετά συχνό εύρημα (11-22%). Υπάρχουν ενδοκρινικές διαταραχές λόγω επηρεασμού της υπόφυσης. Η κορτιζόλη π.χ. θα μειωθεί λόγω των επιπτώσεων στην παραγωγή ACTH.
Συχνότερα εντοπίζονται εντός του τουρκικού εφιππίου. Είναι δυνατόν όμως να εντοπιστούν και να επεκταθούν και στην υπεριφιππιακή δεξαμενή.
Η ιστολογική εικόνα δείχνει φωλιές από πλακώδες επιθήλιο που συνορεύει με ακτινωτά κύτταρα. Συχνά συνοδεύεται από απόθεση ασβεστίου και μπορεί να έχει μια μικροσκοπική θηλώδης αρχιτεκτονική.
Δύο διαφορετικοί τύποι κρανιοφαρυγγιωμάτων αναγνωρίζονται:
Τα αδαμαντινώματα μοιάζουν με τον πιο κοινό τύπο όγκου των δοντιών, τα οποία χαρακτηρίζονται από την ενεργοποίηση μεταλλάξεων CTNNB1. Στα αδαμαντινώματα οι αποτιτανώσεις είναι ορατές κατά τη νευροαπεικόνιση και αυτή είναι χρήσιμη στη διάγνωση.
Τα θηλοειδή κρανιοφαρυγγιώματα χαρακτηρίζονται από BRAFv600E μεταλλάξεις και σπάνια έχουν αποτιτανώσεις.
Στη μακροσκοπική εξέταση, τα κρανιοφαρυγγιώματα είναι κυστικά ή εν μέρει κυστικά με συμπαγείς περιοχές. Στη μικροσκοπία φωτός, οι κύστεις φαίνεται να επενδεδυμένες με στρωματοποιημένο πλακώδες επιθήλιο. Κερατίνη μπορεί, επίσης, να υπάρχει. Οι κύστεις, συνήθως, γεμίζουν με ένα κίτρινο, ιξώδες υγρό το οποίο είναι πλούσιο σε κρυστάλλους χοληστερόλης.
Πρόγνωση κρανιοφαρυγγιώματος
Τα κρανιοφαρυγγιώματα είναι γενικά καλοήθη, αλλά είναι γνωστό ότι επανεμφανίζονται μετά την εκτομή. Σπάνια μπορεί να είναι κακοήθη.
Τα κακοήθη κρανιοφαρυγγιώματα, συνήθως, αντιμετωπίζονται με επιτυχία με επικουρική χημειοθεραπεία και νευροχειρουργική. Τα κακοήθη κρανιοφαρυγγιώματα μπορεί να εμφανιστούν σε οποιαδήποτε ηλικία, είναι ελαφρώς πιο συχνά στις γυναίκες, και είναι συνήθως αδαμαντινώματα. Ο κακοήθης μετασχηματισμός μπορεί να χρειαστεί χρόνια για να συμβεί (αν και 1 στα 5) και γι΄αυτό υπάρχει ανάγκη για μακρύτερη παρακολούθηση σε ασθενείς που διαγιγνώσκονται με τις συχνές καλοήθεις μορφές. Το συνολικό ποσοστό επιβίωσης σε κακόηθες κρανιοφαρυγγίωμα είναι πολύ κακό με διάμεση επιβίωση τους 6 μήνες μετά τη διάγνωση της κακοήθειας.
Θεραπεία κρανιοφαρυγγιώματος
Χειρουργική, ακτινοθεραπεία, θεραπεία ορμονικής υποκατάστασης
Η θεραπεία αποτελείται γενικά από υπομετωπική ή διασφηνοειδή εκτομή από ΩΡΛ και νευροχειρουργούς. Λόγω της θέσης του κρανιοφαρυγγιώματος κοντά στον εγκέφαλο και τη βάση κρανίου, ένα ρομποτικό χειρουργικό σύστημα πλοήγησης είναι καλύτερα να χρησιμοποιηθεί.
Πρόσθετη ακτινοθεραπεία χρησιμοποιείται, επίσης, εάν η συνολική αφαίρεση δεν είναι δυνατή. Λόγω των φτωχών αποτελεσμάτων που σχετίζονται με βλάβη της υπόφυσης και του υποθαλάμου από τη χειρουργική αφαίρεση και την ακτινοβολία, πειραματικές θεραπείες χρησιμοποιώντας στην περιοχή του όγκου φωσφόρο 32, ύττριο, ή άλλα μέσα, ειδικά σε νεαρούς ασθενείς. Ο όγκος, όντας στην υπόφυση, μπορεί να προκαλέσει δευτερογενή προβλήματα υγείας. Το ανοσοποιητικό σύστημα, τα επίπεδα του θυρεοειδούς, τα επίπεδα της αυξητικής ορμόνης και τα επίπεδα τεστοστερόνης μπορεί να τεθούν σε κίνδυνο από το κρανοφαρυγγίωμα.
Η θεραπεία για τα κακοήθη κρανιοφαρυγγιώματα είναι χειρουργική επέμβαση με επικουρική χημειοθεραπεία και ακτινοθεραπεία (πακλιταξέλη και καρβοπλατίνη), χωρίς αύξηση του ποσοστού επιβίωσης σε ασθενείς με εκτομή των όγκων.
Συμπερασματικά…
Αν οι κύστεις είναι συμπτωματικές η αντιμετώπισή τους είναι πάντα και μόνο η χειρουργική παροχέτευση. Η ριζική εκτομή είναι επικίνδυνη λόγω της πιθανότητας πρόκλησης βλάβης λειτουργίας της υπόφυσης π.χ. μείωση της παραγωγής αυξητικής ορμόνης.
Οι μη συμπτωματικές κύστεις χρήζουν παρακολούθησης.
Παρατηρείται και αυτόματη σμίκρυνση της κύστης με την πάροδο του χρόνου και υπάρχει πιθανότητα 31% η κύστη να υποστραφεί και οι πονοκέφαλοι να εκλείψουν. Η σμίκρυνση της κύστης γίνεται λόγω πολλαπλών ρήξεων ή αιμορραγίας.
Τα κρανιοφαρυγγιώματα είναι καλοήθεις όγκοι. Ωστόσο, όπως και με πολλούς όγκους του εγκεφάλου, η θεραπεία τους μπορεί να είναι δύσκολη, και σημαντική νοσηρότητα εμφανίζεται τόσο από τον όγκο όσο και από τη θεραπεία.
Απαιτείται εξατομικευμένη θεραπεία του κρανιοφαρυγγιώματος.
Το μοριακό προφίλ του όγκου είναι απαραίτητο και χρήσιμο εργαλείο για τη θεραπευτική σας απόφαση.
Ζητείστε την εξέταση πριν κάνετε οποιαδήποτε θεραπεία. Η ζωή σας είναι πολύτιμη.
Ζητήστε από την EMEDI πληροφορίες για το μοριακό προφίλ του όγκου.
Διαβάστε περισσότερα για την Σάββη Μάλλιου Κριαρά
Τα κατάλληλα συμπληρώματα διατροφής για το νευρικό σύστημα
Πατήστε, εδώ, για να παραγγείλετε τα κατάλληλα συμπληρώματα διατροφής για το νευρικό σύστημα
Η καθοδήγηση για την επιλογή των ποιων συμπληρωμάτων διατροφής, από τα ανωτέρω, είναι κατάλληλα για την ασθένειά σας θα γίνει σε συνεννόηση με το θεράποντα ιατρό.
Διαβάστε, επίσης,
Τεστ για να ελέγξετε μόνες σας τις ορμόνες σας
Οι συχνότεροι ενδοκρανιακοί όγκοι
Ανεπάρκεια του φλοιού των επινεφριδίων







