Πρωτοπαθές λέμφωμα του κεντρικού νευρικού συστήματος

0
769

Είναι ενδοκρανιακοί όγκοι του κεντρικού νευρικού συστήματος

Γράφει η 

Δρ Σάββη Μάλλιου Κριαρά 

Ειδικός Παθολόγος-Ογκολόγος, MD, PhD

Τα λεμφώματα του κεντρικού νευρικού συστήματος αποτελούν το 2-3% όλων των όγκων του εγκεφάλου σε ασθενείς που έχουν ακέραιο ανοσοποιητικό σύστημα.

Οι όγκοι αυτοί είναι πιο συχνοί στους άνδρες που είναι 55-60 ετών και οι μισές περιπτώσεις λεμφώματος του ΚΝΣ  συμβαίνουν σε άνδρες μεγαλύτερους των 60 ετών.

Η επίπτωση των λεμφωμάτων του κεντρικού νευρικού συστήματος φαίνεται να αυξάνει, αλλά δεν είναι σαφές αν αυτό είναι πραγματικό ή λόγω υπερδιάγνωσης…

Σε μεγάλο κίνδυνο για λέμφωμα του κεντρικού νευρικού συστήματος είναι οι ασθενείς που έχουν ελαττωματικό ανοσοποιητικό σύστημα, όπως οι ασθενείς που έχουν κάνει μεταμόσχευση συμπαγούς οργάνου, αυτοί που έχουν συγγενή ανοσοανεπάρκεια ή αυτοάνοση διαταραχή ή οι ασθενείς που έχουν HIV. Τα λεμφώματα του κεντρικού νευρικού συστήματος που σχετίζονται με τον HIV σχετίζονται με τον ιό Epstein Barr, ειδικά όταν ο αριθμός των CD4 είναι μικρότερος από 500/mm3.

Τα περισσότερα λεμφώματα είναι από μεγάλα Β κύτταρα.

Οι ασθενείς έχουν μια ποικιλία χαρακτηριστικών συμπτωμάτων που προέρχονται από εστιακές ή πολυεστιακές βλάβες λόγω της πίεσης της μάζας.

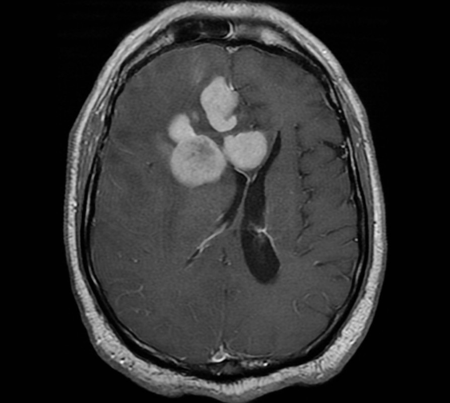
Η μαγνητική τομογραφία δείχνει, συνήθως, όγκους ομοιογενείς που ενισχύονται από το σκιαγραφικό μέσα στην περικοιλιακή εν τω βάθει λευκή ουσία. Οι όγκοι, συνήθως, είναι πολυεστιακοί. Και η ανομοιογενής ενίσχυση του σκιαγραφικού, δεν είναι ασυνήθης, ειδικά σε ασθενείς που έχουν καταστολή του ανοσοποιητικού τους συστήματος.

Είναι πολύ σημαντικό να γίνεται διαφοροδιάγνωση από το λέμφωμα κεντρικού συστήματος κατά την διάγνωση όγκων του εγκεφάλου..

Η χορήγηση κορτικοστερεοειδών μπορεί να οδηγήσει σε πλήρη εξαφάνιση της βλάβης και να μην είναι δυνατή η διάγνωση. Γι’ αυτό αν τίθεται στην διαφοροδιάγνωση το λέμφωμα τα κορτικοστερεοειδή πρέπει να αποφεύγονται εκτός και αν η μάζα προκαλεί σοβαρή και γρήγορη βλάβη στον ασθενή.

Συνήθως, λαμβάνονται βιοψίες από τις ύποπτες βλάβες, γιατί υπάρχουν πολλές κακοήθεις και καλοήθεις βλάβες που μιμούνται το λέμφωμα του κεντρικού νευρικού συστήματος. Καλύτερα να μη γίνεται!!!

Σε αντίθεση με τα συστηματικά λεμφώματα από μεγάλα Β κύτταρα, στα οποία όταν γίνεται χημειοθεραπεία και ακτινοθεραπεία, υπάρχει κάποια αποτελεσματικότητα, τα λεμφώματα του κεντρικού νευρικού συστήματος, ενώ ανταποκρίνονται στην αρχική θεραπεία, υποτροπιάζουν.

Όπως και με τα συστηματικά λεμφώματα η χειρουργική εξαίρεση περιορίζεται μόνο στη λήψη ιστού για βιοψία. Καλύτερα να μη γίνεται!!!

Η κύρια θεραπεία στην συμβατική ιατρική είναι η ολοκρανιακή ακτινοθεραπεία. Δυστυχώς, όμως, ακόμη και σε εντοπισμένες βλάβες η μέση επιβίωση με ακτινοβολία είναι 1 έτος περίπου. Οι υποτροπές σε άλλα σημεία, εκτός από την πρωτοπαθή βλάβη είναι συχνές. Η χημειοθεραπεία με cyclophosphamide, doxorubicin, vincristine και prednisone (CHOP) που είναι αποτελεσματική για το συστηματικό λέμφωμα μπορεί να συρρικνώσει τον όγκο σε μεγάλο ποσοστό ασθενών με λέμφωμα του κεντρικού νευρικού συστήματος, αλλά η υποτροπή είναι σίγουρη!!!.

Μερικοί χρησιμοποιούν υψηλές δόσεις methotrexate, όπως μονοθεραπεία με methotrexate ή methotrexate με υψηλές δόσεις cytarabine, procarbazine με ή χωρίς ενδοραχιαία methotrexate ή ενδοαρτηριακή χημειοθεραπεία ακολουθούμενη από τροποποίηση του αιματοεγκεφαλικού φραγμού με μαννιτόλη. Με την methotrexate η μέση επιβίωση κυμαίνεται από 24 έως 40 μήνες. Σε μερικές περιπτώσεις ακτινοθεραπεία χρησιμοποιείται μόνο σε υποτροπή εάν πλήρης ύφεση έχει επιτευχθεί με την χημειοθεραπεία. Σημαντικό είναι ότι μακρά επιβίωση έχει αναφερθεί σε πολλούς ασθενείς χωρίς τη χρήση της ακτινοθεραπείας. 

Λόγω της ποικιλομορφίας της φύσης του λεμφώματος του κεντρικού νευρικού συστήματος, υπάρχει μεγάλος κίνδυνος για απώτερη νευρολογική τοξικότητα και άνοια από λευκοεγκεφαλοπάθεια. Άρα, καλύτερα να αποφεύγεται η ακτινοβολία η ολοκρανιακή. Η θεραπεία σε ασθενείς με ελαττωματικό ανοσοποιητικό σύστημα είναι να καταπολεμηθεί η αιτία της ανοσοκαταστολής. Η πρόγνωση των ασθενών με ελαττωματικό ανοσοποιητικό σύστημα είναι χειρότερη από αυτή των ασθενών που έχουν υγιές ανοσοποιητικό σύστημα.

Επειδή, συμβαίνουν πολλές συνοδές λοιμώξεις και η γενική κατάσταση του ασθενούς δεν είναι καλή, η χρήση της χημειοθεραπείας και ακτινοθεραπείας σε ασθενείς με κατασταλμένο ανοσοποιητικό σύστημα δεν είναι καλή θεραπευτική απόφαση.

Καλύτερα να γίνεται μοριακό προφίλ του όγκου για εξατομικευμένη θεραπεία.

Καλύτερα να γίνεται μοριακό προφίλ του όγκου για εξατομικευμένη θεραπεία.

Η ζωή είναι πολύτιμη.

Η ζωή είναι δική σας. Πάρτε την στα χέρια σας!

 

 

Η καθοδήγηση για την επιλογή των ποιων συμπληρωμάτων διατροφής, από τα ανωτέρω, είναι κατάλληλα για την ασθένειά σας θα γίνει σε συνεννόηση με το θεράποντα ιατρό

Διαβάστε, επίσης,

Πώς η κάνναβη θεραπεύει τον καρκίνο

Νοσήματα ενδεικτικά πιθανού AIDS στα παιδιά

Πολύμορφο γλοιοβλάστωμα

Διάγνωση λεμφοϋπερπλαστικών διαταραχών σε μεταμοσχευμένους

Λεμφοϋπερπλαστικές διαταραχές μετά από μεταμόσχευση συμπαγών οργάνων

Κατάταξη μη-Hodgkin λεμφωμάτων

Ανάπτυξη κακοήθειας μετά από μεταμόσχευση οργάνων

Νόσοι από μεγαλοκυτταροϊό

Παγκόσμια ημέρα κατά του παιδικού καρκίνου

Πολλαπλούν μυέλωμα

Οξεία λεμφοβλαστική λευχαιμία

Απεικονιστικός έλεγχος στην ογκολογία

Τα επιθετικά λεμφώματα

Παράγοντες που καθορίζουν τη θεραπευτική απόφαση στην ογκολογία

Προβλεπτικοί καρκινικοί δείκτες στην ογκολογία

www.emedi.gr

 

 

Print Friendly, PDF & Email

ΑΦΗΣΤΕ ΜΙΑ ΑΠΑΝΤΗΣΗ

εισάγετε το σχόλιό σας!
παρακαλώ εισάγετε το όνομά σας εδώ