Αναγνωρίστε έγκαιρα τον καρκίνο του στόματος
Λευκοπλακία του στόματος είναι οι παχιές, λευκές περιοχές στο μάγουλο ή στη γλώσσα. Η λευκοπλακία είναι η αντίδραση του στόματος στο χρόνιο ερεθισμό. Μπορεί να προκληθεί από τεχνητή οδοντοστοιχία που δεν εφαρμόζει καλά ή από ένα δόντι που τρίβεται στα μάγουλα ή στο δόντι. Ακόμη μπορεί να προκληθεί από ένα δόντι που τρίβεται στο μάγουλο ή στο ούλο. Όταν οι περιοχές αυτές εμφανίζονται στα χείλη ενός καπνιστή η κατάσταση ονομάζεται υπερκεράτωση του καπνιστή. Η εισπνοή ή το μάσημα του καπνού προκαλεί, επίσης, χρόνιο ερεθισμό. Η λευκοπλακία μπορεί να εμφανισθεί οποιαδήποτε στιγμή στη ζωή σας, αλλά εμφανίζεται συχνότερα στους ηλικιωμένους. Η θεραπεία γίνεται με απομάκρυνση της πηγής του ερεθισμού. Αφότου απομακρυνθεί η αιτία η λευκοπλακία υποχωρεί, μέσα σε μερικές εβδομάδες ή μήνες. Αν έχετε λευκές περιοχές στο στόμα πρέπει να εξεταστείτε από τον γιατρό σας.
Η χρήση καπνού μπορεί να οδηγήσει σε καρκίνο των χειλιών, της γλώσσας και των πνευμόνων.
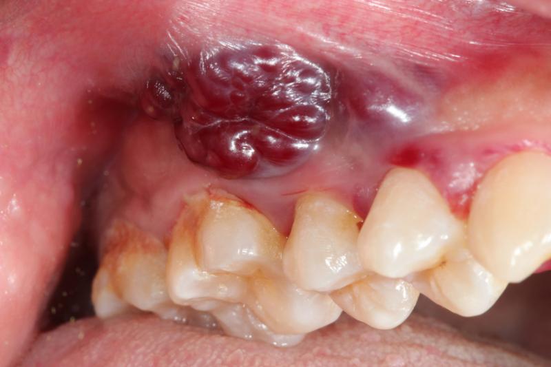
Καρκίνος στόματος εμφανίζεται, συνήθως, στα πλάγια ή στο κάτω μέρος της γλώσσας ή στο έδαφος του στόματος. Να θυμάστε, ότι οι όγκοι δεν προκαλούν πόνο και είναι ορατοί και ψηλαφητοί. Η τακτική εξέταση των μαλακών ιστών του στόματος είναι σημαντική για τον έγκαιρο εντοπισμό του καρκίνου του στόματος. Αν παρατηρήσετε κάποια επίμονη αλλαγή στην όψη ή στην αίσθηση των μαλακών ιστών του στόματος συμβουλευθείτε τον γιατρό σας. Ο έγκαιρος εντοπισμός παίζει μεγάλο ρόλο στην επιτυχημένη θεραπεία. Όταν ο καρκίνος στόματος εντοπισθεί στην αρχή με την τακτική αυτοεξέταση του στόματος και της γλώσσας η θεραπεία θεωρείται δεδομένη.


Η ζωή είναι δική σας. Πάρτε την στα χέρια σας!
Πριν και μετά την θεραπεία πρέπει να γνωρίζετε την πρόγνωση!
Το μοριακό προφίλ του όγκου είναι απαραίτητο και χρήσιμο εργαλείο για τη θεραπευτική σας απόφαση.
Ζητείστε την εξέταση πριν κάνετε οποιαδήποτε θεραπεία. Η ζωή σας είναι πολύτιμη.
Ζητήστε από την EMEDI πληροφορίες για το μοριακό προφίλ του όγκου.
Τα κατάλληλα συμπληρώματα διατροφής για όσους έχουν λευκοπλακία, καρκίνο στόματος ή γλώσσας
Η καθοδήγηση για την επιλογή των ποιων συμπληρωμάτων διατροφής, από τα ανωτέρω, θα επιλεγούν για την ασθένειά σας θα γίνει σε συνεννόηση με τον θεράποντα ιατρό.
Διαβάστε, επίσης,
Για όσους έχουν κίνδυνο για καρκίνο από το κάπνισμα
H διατροφή για την πρόληψη καρκίνου του στόματος
Διατροφικές συμβουλές για την πρόληψη του καρκίνου
Χρήσιμες ιατρικές συνταγές με τριφύλλι
Διογκωμένος κακοήθης λεμφαδένας τραχήλου
Είναι κατάλληλη η χημειοθεραπεία για τον καρκίνο κεφαλής και τραχήλου;
Αρχές της ακτινοθεραπείας στον καρκίνο κεφαλής και τραχήλου
Οι αρχές της χειρουργικής θεραπείας στον καρκίνο κεφαλής και τραχήλου
Οι βασικές αρχές της θεραπείας του καρκίνου κεφαλής και τραχήλου
Συμπτώματα, διάγνωση και σταδιοποίηση του καρκίνου κεφαλής και τραχήλου
Πρόληψη καρκίνου κεφαλής και τραχήλου
Παράγοντες κινδύνου για τον καρκίνο κεφαλής και τραχήλου





