Η ιστοπλάσμωση είναι μυκητιασική λοίμωξη από το Histoplasma capsulatum, ένα δίμορφο σαπρόφυτο του εδάφους, με ποικίλες κλινικές εκδηλώσεις.
Η αρχική λοίμωξη σε φυσιολογικό ξενιστή είναι συχνά ασυμπτωματική.
Στις άλλες εκδηλώσεις περιλαμβάνονται: μια αυτοπεριοριζόμενη γριπώδης συνδρομή, μεσοθωρακική ίνωση, σχηματισμός ουλών, χρόνια πάθηση με σχηματισμό κοιλοτήτων σε άτομα με αποφρακτική πνευμονοπάθεια και διάχυτη ιστοπλάσμωση σε ανοσοακατεσταλμένα άτομα και βρέφη.
Το Histoplasma capsulatum βρίσκεται ως μικκύλιο στη φύση και ως ζυμομύκητας όταν εκτίθεται στις θερμοκρασίες του σώματος.
Οι σπόροι μπορεί να είναι δραστικοί έως και 10 χρόνια.
Η έκθεση του μύκητα σε περιττώματα πουλιών ή νυχτερίδων ευνοεί την ανάπτυξή του.
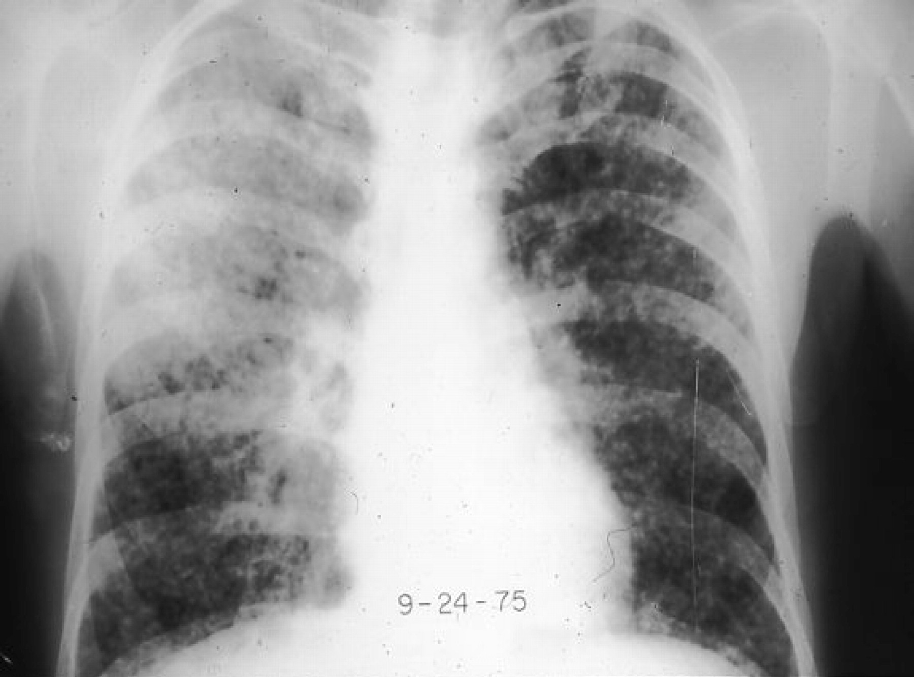
Η χρόνια πνευμονική ιστοπλάσμωση εμφανίζεται, συνήθως, σε λευκούς άνδρες με αποφρακτική πνευμονοπάθεια και προσβολή των κορυφών των πνευμόνων με σχηματισμό κοιλοτήτων. Σε αυτούς τους ασθενείς η λοίμωξη υπάρχει σιωπηλα.
Η διάχυτη ιστοπλάσμωση στα ανοσοκατεσταλμένα άτομα είναι μια ευκαιριακή διάσπαρτη λοίμωξη που μοιάζει με τη σήψη και εξελίσσεται σε ανεπάρκεια πολλών οργάνων.
Η ιστοπλάσμωση επηρεάζει το αναπνευστικό και το πεπτικό σύστημα.
Εμφανίζεται, συχνά, σε ασθενείς με AIDS 5%. Τα βρέφη κάτω του έτους αποτελούν το 1/3 των περιπτώσεων και αναπτύσσουν διάχυτη ιστοπλάσμωση. Οι ηλικιωμένοι άνω των 60 ετών έχουν, επίσης, αυξημένο κίνδυνο για ιστοπλάσμωση.
Η οξεία ισοπλάσμωση έχει ίδια επίπτωση σε άνδρες και γυναίκες, ενώ η διάχυτ έχει μεγαλύτερη επίπτωση στους άνδρες σε αναλογία άνδρες:γυναίκες 10:1.
Σημεία και συμπτώματα ιστοπλάσμωσης
Η πρωτοπαθής λοίμωξη σε φυσιολογικούς ξενιστές είναι, συνήθως, ασυμπτωματική.
Έκθεση σε δυνατό εμβόλιο από σπόρους προκαλεί γριπώδη συνδρομή με κεφαλαλγία, πυρετό, ρίγη, μη παραγωγικό βήχα, μυαλγίες και αρθραλγίες.
Παράγοντες κινδύνου για ιστοπλάσμωση
Σπηλαιολογία
Καθαρισμός πτηνοτροφείων
Ανασκαφές κοντά σε φωλιές πουλιών
Κατεδάφιση ή ανακαίνιση παλιών κτιρίων
Επαφή με σάπια ξύλα ή νεκρά δέντρα
Συχνή έκθεση σε περιοχές με υψηλή συγκέντρωση σε περιττώματα πουλιών
Ανοσοκαταστολή
Διαφορική διάγνωση ιστοπλάσμωσης
Άτυπη πνευμονία και ιογενής πνευμονίτιδα
Άλλες μυκητιασικές λοιμώξεις, όπως βλαστομύκωση και κοκκιδιοειδομύκωση
Πνευμονοκονίαση
Λέμφωμα
Κακοήθειες που σχετίζονται με λεμφαδενοπάθεια του μεσοθωρακίου
Εργαστηριακά Ευρήματα Ιστοπλάσμωσης
Τίτλος αντισωμάτων σύνδεσης του συμπληρώματος 1:8 ή 1:16 κάνει τη διάγνωση πιθανή, ενώ 1:32 ή οξεία τεραπλάσια αύξηση του τίτλου αποτελεί ισχυρή ένδειξη.
Σε χρόνια ιστοπλάσμωση και στη διάσπαρτη μορφή της νόσου οι καλλιέργειες πτυέλων, βρογχοκυψελιδικού εκπλύματος, μυελού των οστών, λεμφαδένων, αίματος, ήπατος και εγκεφαλονωτιαίου υγρού μπορεί να είναι θετικές. Η παρουσία των χαρακτηριστικών οργανισμών με χρώση αργύρου στη βιοψία και τα βρογχοκυψελιδικά εκπλύματα είναι διαγνωστική.
Οι ορολογικές δοκιμασίες μπορεί να είναι ψευδώς αρνητικές στα αρχικά στάδια της νόσου και στους ανοσοκατεσταλμένους ασθενείς.
Ψευδώς θετικά αποτελέσματα μπορεί να παρατηρηθούν σε φυματίωση και άλλες μυκητιασικές λοιμώξεις.
Ψευδώς θετικοί τίτλοι σύνδεσης του συμπληρώματος μπορεί να παρατηρηθούν μετά από δερματική δοκιμασία αντιγόνου ιστοπλασμίνης.
Η χαμηλή κάθαρση των αντισωμάτων μπορεί να υποδεικνύει ασθενείς με προηγούμενο ιστορικό ιστοπλάσμωσης που τώρα έχουν μια διαφορετική πάθηση.
Από παθολογοανατομικά ευρήματα παρατηρούνται ατελώς σχηματισμένα κοκκιώματα με τυροειδοποίηση και από την ιστολογική εξέταση της βρογχοσκόπησης παρατηρούνται ζυμομύκητες με χρώση αργυρούχου μεθαιναμίνης.
Γίνεται επιβεβαίωση της παρουσίας αντιγόνων Histoplasma capsulatum στα ούρα.
Γίνεται βρογχοσκόπηση.
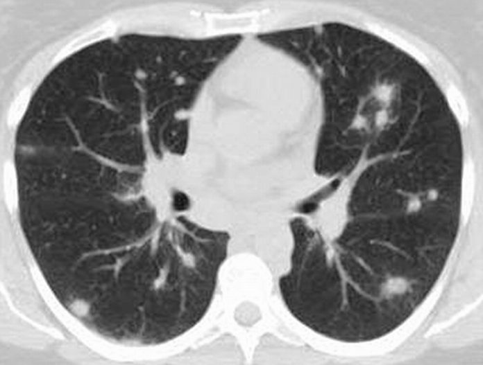
Η ακτινογραφία θώρακος δείχνει λεμφαδενοπάθεια με αποτιτανώσεις στο μεσοθωράκιο.

Φαρμακευτική αγωγή σε ιστοπλάσμωση
Αμφοτερικίνη Β 1mg δοκιμαστική δόση και μετά 0,25mg/Kg/δόση που αυξάνεται ως 0,5mg/Kg/δόση με αθροιστική δόση 1-2 gm
Κετοκοναζόλη 400 mg ημερησίως
Οι ασθενείς με AIDS αμφοτερικίνη Β 1-1,5 g για 8 εβδομάδες και θεραπεία συντήρησης με κετοκοναζόλη 400 mg ημερησίως ή αμφοτερικίνη Β 50-100 mg την εβδομάδα.
Σε χρόνια ιστοπλάσμωση με σχηματισμό κοιλοτήτων χορηγείται αμφοτερικίνη Β 2-2,5 gr αθροιστικά ή κετοκοναζόλη 400 mg ημερησίως για 12 εβδομάδες.
Σε κοκκίωμα μεσοθωρακίου που μοιάζει με ινώδη μεσοθωρακίτιδα γίνεται θεραπεία με αμφοτερικίνη Β.
Η φλουκοναζόλη είναι επίσης, δραστική κατά του H. capsulatum.
Σε ινώδη μεσοθωρακίτιδα δεν υπάρχει ενεργός λοίμωξη.
Η αμφοτερικίνη Β είναι νεφροτοξική. Επίσης, παρακολουθούνται τα επίπεδα καλίου και μαγνησίου. Τα ρίγη προλαμβάνονται με μεπεριδίνη και ο πυρετός και τα φρίκια με ακεταμινοφαίνη και διφαινυδραμίνη.
Η κετοκοναζόλη έχει γαστρεντερικές διαταραχές, αναστέλλει τη σύνθεση τεστοστερόνης και πρέπει να χορηγείται με προσοχή σε ηπατική δυσλειτουργία.

Επιπλοκές της ιστοπλάσμωσης
Δευτεροπαθής απόφραξη βρόγχου, τραχείας ή οισοφάγου από αδενοπάθεια ή βρογχολιθίαση.
Αποτιτανώσεις στους πνεύμονες, τη σπλήνα και το ήπαρ, περικαρδίτιδα, πλευρίτιδα ή πλευριτική συλλογή.
Η ινώδης μεσοθωρακίτιδα προκαλεί στένωση των βρόγχων και των αγγείων του μεσοθωρακίου με αποτέλεσμα πνευμονική υπέρταση, σύνδρομο άνω κοίλης φλέβας και βρογχική απόφραξη.
Οξεία νεφρική ανεπάρκεια, ηπατική δυσλειτουργία και υποκαλιαιμία συμβαίνει από τη θεραπεία.
Τα καλύτερα συμπληρώματα διατροφής για τους μύκητες
Πατήστε, εδώ, για να παραγγείλετε τα κατάλληλα συμπληρώματα διατροφής για τους μύκητες
Η καθοδήγηση για την επιλογή των ποιων συμπληρωμάτων διατροφής, από τα ανωτέρω, είναι κατάλληλα για την ασθένειά σας θα γίνει σε συνεννόηση με το θεράποντα ιατρό.
Διαβάστε, επίσης,





