Στοχευμένη θεραπεία για τις εγκεφαλικές μεταστάσεις

0
955

Στοχευμένη θεραπεία για τις εγκεφαλικές μεταστάσεις. Η ακτινοχειρουργική για τη θεραπεία των εγκεφαλικών μεταστάσεων

Γράφει η 

Δρ Σάββη Μάλλιου Κριαρά 

Ειδικός Παθολόγος-Ογκολόγος, MD, PhD

Στοχευμένη θεραπεία για τις εγκεφαλικές μεταστάσεις

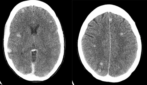
CyberKnife σε πολλαπλές εγκεφαλικές μεταστάσεις από καρκίνο του πνεύμονα

Οι μετάστασεις εγκεφάλου είναι σημαντική αιτία νοσηρότητας και θνησιμότητας και μια σημαντική επιπλοκή του καρκίνου και της συμβατικής θεραπείας.

Μια πρόσφατη μελέτη περιγράφει την περίπτωση ενός 46χρονου άνδρα με καρκίνο του πνεύμονα και απειλητικές για τη ζωή μεταστάσεις στον εγκέφαλο. Ο ασθενής είχε διαγνωστεί με καρκίνο του πνεύμονα, με κλινικό στάδιο T2N0M1 (στάδιο IV). Έξι μήνες μετά την αρχική διάγνωση και τη σύμμορφη ακτινοθεραπεία του πνεύμονα σε συνδυασμό με τρεις κύκλους χημειοθεραπείας, η αξονική τομογραφία του εγκεφάλου αποκάλυψε εγκεφαλικές μεταστάσεις που ήταν διασκορπισμένες σε ολόκληρο τον εγκέφαλοΟ ασθενής υποβλήθηκε σε τρεις συνεδρίες με Cyberknife 22 Gy στις εγκεφαλικές μεταστάσεις. Μετά τη θεραπεία με CyberKnife η αξονική τομογραφία του εγκεφάλου αποκάλυψε ότι οι όγκοι είχαν εξαφανιστεί.

Η στερεοτακτική ακτινοχειρουργική (SRS/Stereotactic Radiosurgery) διεξάγεται με τη χρήση CyberKnife, μια καθοδηγούμενη ρομποτική τεχνολογία, χωρίς πλαίσιο και μπορεί να χρησιμοποιηθεί  σε ολόκληρο το σώμα.

Η θεραπεία με CyberKnife διαδραματίζει σημαντικό ρόλο και στη διαχείριση των πολλαπλών μεταστατικών όγκων του εγκεφάλου.


Ποια είναι η συνήθης θεραπεία για τις εγκεφαλικές μεταστάσεις;

Οι μεταστάσεις εγκεφάλου είναι ένας συχνός τύπος ενδοκρανιακής κακοήθειας που προέρχεται από μεταφορά των καρκινικών κυττάρων έξω από το κεντρικό νευρικό σύστημα στον ιστό του εγκεφάλου.

Εγκεφαλικές μεταστάσεις παρατηρούνται σε ~ 20-40% των ασθενών με καρκίνο, 50 έως 70 ετών.

Το 1/3-1/2 των ασθενών με καρκίνο πεθαίνει από τις εγκεφαλικές μεταστάσεις.

Οι εγκεφαλικές μεταστάσεις, συχνά, αναπτύσσονται ύπουλα μέσα σε λίγες εβδομάδες.

Η ολοκρανιακή ακτινοθεραπεία εγκεφάλου (WBRT/Whole-Brain Radiation Therapy) γίνεται για πολλαπλές μεταστάσεις στον εγκέφαλο, με πολλές παρενέργειες.

Η διάμεση επιβίωση χωρίς θεραπεία, σύμφωνα με τις μελέτες είναι μόνο ένας μήνας και η διάμεση επιβίωση μετά από ακτινοβόληση ολόκληρου του εγκεφάλου είναι 4-6 μήνες

Χειρουργική επέμβαση γίνεται σε ασθενείς με εγκεφαλικές μεταστάσεις και πολύ καλή γενική κατάσταση και νευρολογικά συμπτώματα. Τα τελευταία χρόνια, η χειρουργική επέμβαση έχει αντικατασταθεί από την στερεοτακτική ακτινοχειρουργική (SRS). Η SRS είναι σε θέση να προσδιορίσει με ακρίβεια τη χωρική θέση των μεταστάσεων και να χορηγήσει με ακρίβεια υψηλής ενέργειας ακτινοβολίας στον ιστό στόχο, με σχεδόν καμία επίδραση στην γύρω περιοχή. Η στοχευμένη ακτινοβολία με CyberKnife θεωρείται ότι είναι μια αποτελεσματική θεραπεία για τους  πολλαπλούς μεταστατικούς όγκους του εγκεφάλου.


Γιατί η στερεοτακτική ακτινοχειρουργική υπερτερεί;

Οι εγκεφαλικές μεταστάσεις από καρκίνο είναι ο πιο συχνός τύπος ενδοκρανιακών νεοπλασμάτων σε ενήλικες και είναι σχεδόν 10 φορές πιο συχνοί από τους πρωτοπαθείς κακοήθεις όγκους του εγκεφάλου.

Οι πνεύμονες αντιπροσωπεύουν μία από τις πιο συχνές πηγές των μεταστάσεων στον εγκέφαλο, με πιθανότητα (36-64%).

Τα συμπτώματα των εγκεφαλικών μεταστάσεων είναι πονοκέφαλοι, επιληψία, εστιακή αδυναμία, μούδιασμα ή αλλαγές στην ψυχική κατάσταση.

Η πρόγνωση των ασθενών με μεταστάσεις στον εγκέφαλο δεν είναι αισιόδοξη και ο διάμεσος χρόνος επιβίωσης είναι ~ 1-2 μήνες, αν αφεθούν χωρίς θεραπεία. Το ποσοστό επιβίωσης 1 έτους είναι ως 10,4%

Η θεραπεία των μεταστατικών όγκων του εγκεφάλου είναι πολύπλοκη και οφείλεται σε παράγοντες, όπως η ηλικία, η γενική κατάσταση, το μέγεθος του πρωτοπαθούς όγκου και η θέση και ο αριθμός των μεταστάσεων στον εγκέφαλο.

Η κρανιοτομή επιτρέπει την άμεση ανακούφιση των συμπτωμάτων σε ενδοκρανιακή υπέρταση, μειώνει τα εστιακά νευρολογικά ελλείμματα και τις επιληπτικές κρίσεις. Η πλειοψηφία των μελετών υποστηρίζουν τη χειρουργική επέμβαση κατάλληλη θεραπεία για ασθενείς με εγκεφαλικές μεταστάσεις με μία μέση μέγιστη διάμετρο 3,43 ± 0,74 εκατοστά, αλλά όχι για τους ασθενείς με πολλαπλές μεταστάσεις στον εγκέφαλο λόγω της πιο συχνής πιθανότητας λεπτομηνιγγικής καρκινωμάτωσης που ακολουθεί την κρανιοτομή. Περαιτέρω, η θνησιμότητα των ασθενών που υποβάλλονται σε χειρουργική επέμβαση για μεταστάσεις εγκεφάλου είναι ~ 2 – έως 4-φορές υψηλότερη από εκείνη των ασθενών με πρωτοπαθείς όγκους του εγκεφάλου.

Η Ολοκρανιακή Ακτινοβολία έχει χρησιμοποιηθεί ευρέως για τη διαχείριση των εγκεφαλικών μεταστάσεων, ιδιαιτέρως των πολλαπλών μεταστάσεων στον εγκέφαλο, για δεκαετίες, καθώς οδηγεί σε ταχεία βελτίωση των νευρολογικών συμπτωμάτων και επιμηκύνει λίγο την επιβίωση. Ωστόσο, η προκαλούμενη από την ακτινοβολία άνοια είναι μια καλά γνωστή παρενέργεια, ακόμα και αν αυξάνεται ο μέσος χρόνος επιβίωσης σε 4-6 μήνες.

Η SRS-στερεοτακτική ακτινοχειρουργική δεν έχει εφαρμοστεί ευρέως για πολλές και μεγάλες μεταστάσεις στον εγκέφαλο αν και έχει γίνει αποδεκτή ως μια γενική μέθοδος θεραπείας για μετάσταση στον εγκέφαλο από το 1975.

Το CyberKnife είναι ένα ρομποτικό σύστημα ακτινοχειρουργικής με ένα γραμμικό επιταχυντή σωματιδίων, που λειτουργεί σε συνδυασμό με απεικόνιση σε πραγματικό χρόνο για να παρακολουθείται και να αντισταθμίζεται η κίνηση του στόχου. Είναι μη επεμβατική μέθοδος θεραπείας.

Το CyberKnife έχει ορισμένα πλεονεκτήματα, όπως πιο ακριβή εντόπιση στόχου και βελτιωμένη διανομή της δόσης για τη διαχείριση των μεταστατικών όγκων του εγκεφάλου που επιτρέπει υψηλότερη βιολογικώς αποτελεσματική παροχή της δόσης, χωρίς αυξημένη συχνότητα εμφάνισης τοξικότητας.

Το CyberKnife για μεταστατικούς όγκους του εγκεφάλου είναι μια αποτελεσματική και ασφαλής μέθοδος για πολλαπλές μεταστάσεις στον εγκέφαλο και για την ελαχιστοποίηση της νευροτοξικότητας που σχετίζεται με την ακτινοβολία.

Το CyberKnife παρέχει και το πλεονέκτημα της διαχείρισης της τοπικής υποτροπής. Η βέλτιστη κλασματοποίηση της δόσης απαιτεί περαιτέρω διερεύνηση.

Η πιθανότητα πρόκλησης δεύτερου καρκίνου από την ακτινοβολία παραμένει.

Να προτιμάτε τις φυσικές θεραπείες για τις εγκεφαλικές μεταστάσεις, σύμφωνα με το Μοριακό Προφίλ του Όγκου

Η ζωή είναι πολύτιμη.

Η ζωή είναι δική σας. Πάρτε την στα χέρια σας!

Το μοριακό προφίλ του όγκου είναι απαραίτητο και χρήσιμο εργαλείο για τη θεραπευτική σας απόφαση.

Ζητείστε την εξέταση πριν κάνετε οποιαδήποτε θεραπεία. Η ζωή σας είναι πολύτιμη.

Ζητήστε από την EMEDI πληροφορίες για το μοριακό προφίλ του όγκου.

Μάθετε όλες τις πληροφορίες από τους συνεργάτες μας για την εξατομικευμένη θεραπεία του καρκίνου του εγκεφάλου, πατώντας εδώ.

Γράφει η
Δρ Σάββη Μάλλιου Κριαρά
Ειδικός Παθολόγος- Ογκολόγος, MD, PhD

Διαβάστε περισσότερα για τη Σάββη Μάλλιου Κριαρά

Τα κατάλληλα συμπληρώματα διατροφής για το μεταστατικό καρκίνο εγκεφάλου

Πατήστε, εδώ, για να παραγγείλετε τα κατάλληλα συμπληρώματα διατροφής για το μεταστατικό καρκίνο εγκεφάλου

Η καθοδήγηση για την επιλογή των ποιων συμπληρωμάτων διατροφής, από τα ανωτέρω, είναι κατάλληλα για την ασθένειά σας θα γίνει σε συνεννόηση με το θεράποντα ιατρό.

Διαβάστε, επίσης,

Η ανάγκη για βελτίωση της ακτινοθεραπείας στους όγκους του εγκεφάλου

Λεπτομηνιγγική καρκινωμάτωση

Στοχευμένες τοπικές θεραπείες στον καρκίνο

Η μεγάλη υπόθεση για τη θεραπεία του καρκίνου

Ρομποτική ακτινοχειρουργική

Θεραπεία πρώιμου καρκίνου του πνεύμονα χωρίς χειρουργείο

TomoTherapy

Δηλητηρίαση από ακτινοβολία

Γιατί κάποιος παθαίνει λευχαιμία 

Η ακτινοβολία προκαλεί νευροπάθεια σε επιζώντες καρκίνου

Υπάρχουν κίνδυνοι από την Ακτινοθεραπεία;

Μπορεί η υπερθερμία να θεραπεύσει τον καρκίνο; 

Ποιότητα ζωής και καρκίνος 

Θεραπεία του καρκίνου εξατομικευμένα

Οι θυμωμένοι επιζήσαντες από καρκίνο

Ακουστικό νευρίνωμα

Χόρδωμα

Θετικές εξελίξεις για το γλοιοβλάστωμα

Νανοσωματίδια για τον καρκίνο του πνεύμονα

Τι είναι η νανοϊατρική

Που μπορούν να χρησιμοποιηθούν τα νανοσωματίδια

Μοριακή ανάλυση σε γλοιοβλάστωμα

www.emedi.gr

Print Friendly, PDF & Email

ΑΦΗΣΤΕ ΜΙΑ ΑΠΑΝΤΗΣΗ

εισάγετε το σχόλιό σας!
παρακαλώ εισάγετε το όνομά σας εδώ