Το εμβόλιο MTH-68 στη θεραπεία του καρκίνου

0
897
Το MTH-68/H έχει επιτυχία σε ασθενείς με πολύμορφο γλοιοβλάστωμα
Το MTH-68/H έχει επιτυχία σε ασθενείς με πολύμορφο γλοιοβλάστωμα

Το εμβόλιο MTH-68 χρησιμοποιείται για την πρόληψη της ψευδοπανώλης των πτηνών

MTH-68

Από πολλούς ονομάστηκε… MTH (More Than Hope)

Η εφαρμογή του εμβολίου για την πρόληψη της ψευδοπανώλης των πτηνών (νόσος Newcastle) μπορεί να χρησιμοποιηθεί για την αντιμετώπιση ανθρώπινων νεοπλασμάτων και αυτό έχει επιπεβεβαιωθεί και με μελέτες εδώ και 40 χρόνια. Το MTH-68/H, είναι ένα ζωντανό εξασθενημένο ογκολυτικό ιικό στέλεχος του ιού της νόσου του Newcastle και είναι ένας από τους ιούς που χρησιμοποιούνται στη θεραπεία διαφόρων κακοηθειών.

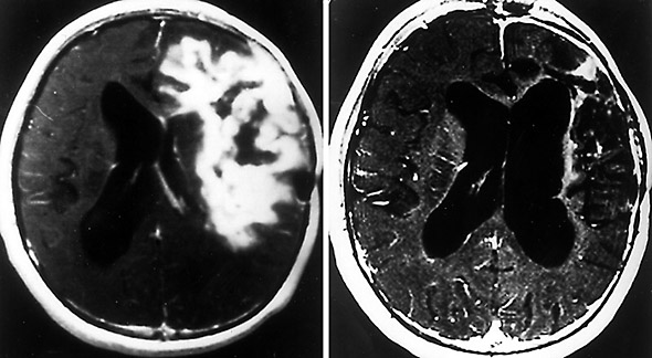
Το MTH-68/H έχει επιτυχία σε ασθενείς με πολύμορφο γλοιοβλάστωμα, που είναι το πιο συχνό και πιο επιθετικό νευροεξωδερμικό νεόπλασμα με κακή πρόγνωση (κατά μέσο όρο επιβίωση έξι μήνες έως ένας χρόνος).

Με το εμβόλιο αυτό σε όλες τις μελέτες οι ασθενείς είχαν  μια καλή ποιότητα ζωής, με την τακτική χορήγηση του MTH-68 / H ως μοναδική θεραπεία για πολλά χρόνια.

Ο εξασθενημένος ιός της νόσου Newcastle (NDV) με το εμβόλιο MTH-68 / H προκαλεί υποχώρηση διαφόρων όγκων.

Ο μηχανισμός της δράσης της ογκολυτικού ιού είναι ότι επηρεάζει συγκεκριμένες οδούς της σηματοδότησης των καρκινικών κυττάρων. Τα κυτταρικά αποτελέσματα του εμβολίου μελετήθηκαν σε κύτταρα PC12 του φαιοχρωμοκυτώματος αρουραίου για την ανάλυση της διαφοροποίησης, του πολλαπλασιασμού και της απόπτωσης.

Το MTH-68 εμβόλιο/H βρέθηκε να είναι κυτταροτοξικό σε κύτταρα PC12. Προκαλεί ενδοπυρηνοσωμικό κατακερματισμό του DNA, το πιο χαρακτηριστικό γνώρισμα του προγραμματισμένου κυτταρικού θανάτου. Μια σύντομη έκθεση (30 λεπτά) των Ρ12 κυττάρων στον ιό ήταν αρκετά για να υπάρξει αποπτωτική απόκριση.

Οι πρωτεϊνικές κινάσες που ενεργοποιούνται από τα καρκινικά μονοπάτια (c-Jun Ν-τερματική κινάση και p38) ή οι μηχανισμοί που ρυθμίζονται από αντιδραστικά είδη οξυγόνου δεν φαίνεται να έχουν  ρόλο στο θάνατο των κυττάρων που προκαλείται από τον ιό.

Η επαγωγή του προγραμματισμένου κυτταρικού θανάτου από το MTH-68 / H δεν θα μπορούσε να προληφθεί με ταυτόχρονη κατεργασία των κυττάρων P12 με ταυτόχρονη χορήγηση αυξητικών παραγόντων  ή αναλόγων αγγελιοφόρων που διεγείρουν την  πρωτεϊνική κινάση C ή το Ca (++). Σε αντίθεση, η θεραπεία με ένα κυκλικό ανάλογο ΑΜΡ προστατεύει την απόπτωση από τον ιό.  

Αυτά τα αποτελέσματα δείχνουν ότι το MTH-68 / H μπορεί να διακόψει ένα παράγοντα ανάπτυξης που διεγείρει το μονοπάτι επιβίωσης και ότι αυτή η άμεση διέγερση της πρωτεϊνικής κινάσης Α που καταλύεται με φωσφορυλίωση παρακάμπτει αυτό το  μπλοκάρισμα από τον ιό.

Συμπερασματικά…

Η ακίνδυνη αυτή μορφή του ιού (που είναι λιγότερο επιβλαβής και από τον ιό κρυολογήματος) χρησιμοποιείται για τη θεραπεία του καρκίνου. 

Ονομάζεται MTH-68 και βασίζεται στην ιδέα ότι υπάρχει μια ισορροπία στη φύση των όγκων που επάγονται και καταστρέφονται από τους ιούς.

Ένας ιός για να καταστρέψει έναν όγκο πρέπει να ληφθεί και στη συνέχεια να εκφράζεται επί της επιφάνειας του κυττάρου. Αυτό έτσι γίνεται ένας καλός στόχος για το ανοσοποιητικό σύστημα. Ο ιός της νόσου Newcastle (NDV) των κοτόπουλων εισέρχεται με εισπνοή και είναι εξασθενημένο στέλεχος και είναι θανατηφόρος για τα κοτόπουλα, αλλά μη παθογόνος για τον άνθρωπο, δηλαδή δεν προκαλεί τη νόσο.

Η θεραπεία MTH-68 οδηγεί σε πλήρη ή μερική ύφεση (συρρίκνωση) του όγκου. Πιο συχνά σε προχωρημένο καρκίνο σταθεροποιεί τον όγκο. Ο καρκίνος σταματά να αυξάνεται, όταν μετρείται με διαγνωστικές ιατρικές εξετάσεις, και υπάρχει βελτίωση των συμπτωμάτων. 

Ένα είδος θετικής ανταπόκρισης (πλήρης ύφεση ή μερική ύφεση ή σταθεροποίηση) παρατηρήθηκε σε περίπου 50 τοις εκατό των περιπτώσεων στις μελέτες.

Ο ιός αντιγράφεται σε ορισμένους τύπους καρκινικών κυττάρων, αφήνοντας τα φυσιολογικά κύτταρα ανεπηρέαστα. Το εμβόλιο τροποποιημένο με την ιική πρωτεΐνη NS1 έχει υψηλότερη ειδικότητα για τα καρκινικά κύτταρα και υπερεκφράζεται ο αντιαποπτωτικός παράγοντας Bcl-XL. 

Αν και η ογκολυτική δράση του NDV τεκμηριώθηκε ήδη από τη δεκαετία του 1950, η θεραπεία για τον καρκίνο κατανοήθηκε με την έλευση των τεχνολογιών αντίστροφης γενετικής.

Το εμβόλιο αυτό διαθέτει πολλές μοναδικές αντικαρκινικές ιδιότητες. Πυροδοτεί την απόπτωση μέσω της μιτοχονδριακής οδού με απώλεια του δυναμικού της μεμβράνης και ως εκ τούτου επάγει την απελευθέρωση του κυτοχρώματος c στα κύτταρα όγκου. Τα αποτελέσματα υποδεικνύουν ότι η εξωγενής οδός ενεργοποιείται από τον TNF που επάγει την απόπτωση. Το ανοσοποιητικό σύστημα με τα ΝΚ-κύτταρα και τα ουδετερόφιλα και με την αύξηση των CD4 + και CD8 + Τ-κυττάρων σκοτώνουν τα καρκινικά κύτταρα με τη βοήθεια του εμβολίου, πάντα. 

Διαβάστε, επίσης,

Το εμβόλιο Vaxira για τον καρκίνο

Το εμβόλιο για τον καρκίνο EGF

Γιατί η γονιδιακή θεραπεία είναι η απόλυτη θεραπεία του καρκίνου

Γονιδιακή θεραπεία και εμβόλια για τις αιματολογικές κακοήθειες

Ανοσοθεραπεία στον καρκίνο

Οι κυτοκίνες και οι χημειοκίνες στη θεραπεία του καρκίνου

Μακροφάγα και δενδριτικά κύτταρα εναντίον του καρκίνου

Kαταστροφή των καρκινικών κυττάρων με κυτταροτοξικούς μηχανισμούς

Ενεργοποιημένα από τη λεμφοκίνη κύτταρα φονείς

Τα κύτταρα που φυσικά φονεύουν τον καρκίνο

Κυτταρική ανοσία στον καρκίνο

Το μιτοχονδριακό μονοπάτι απόπτωσης στον καρκίνο

Τα καρκινικά μονοπάτια της απόπτωσης

Ρυθμιστικοί μηχανισμοί της απόπτωσης

www.emedi.gr
 
Print Friendly, PDF & Email

ΑΦΗΣΤΕ ΜΙΑ ΑΠΑΝΤΗΣΗ

εισάγετε το σχόλιό σας!
παρακαλώ εισάγετε το όνομά σας εδώ